Что лучше – CO₂ или Er:YAG лазеры? Практические советы косметолога

14.04.2021
Статья
15550
8 мин на прочтение
Статья
14.04.2021
15550
8 мин на прочтение
В статье описаны клинические ситуации, особенности проведения лазерных шлифовок с использованием СО₂ и эрбиевых лазерных систем и составление безопасного и эффективного протокола лазерной абляции
Карманчиков Владимир Сергеевич

Создание первого лазера навсегда изменило мир. Открытие абляционных лазерных технологий навсегда изменило рынок аппаратной косметологии, облегчив проведение безоперационных коррекций косметологических дефектов кожи.

Аналитики прогнозируют рост случаев коррекции рубцов и омоложения с помощью лазерных шлифовок. Среднегодовой темп составит 10,29 % в 2020–2026 гг. и достигнет 29,5 млрд долларов США к 2026 году.

В настоящее время на рынке преобладают два вида аблятивных лазеров – CO2 и Er:YAG, и сказать сразу, какая лазерная система лучше, очень сложно.

Лазер на двуокиси углерода (CO2) был разработан в 1964 году, поэтому нашел широкое применение в хирургии, дерматологии, косметологии, урологии, проктологии, отоларингологии, гинекологии. Лазер на Er:YAG появился в 1987 году и в настоящее время используется в дерматологии, косметологии и гинекологии.

Проведение лазерного омоложения по сплошной методике (сплошная абляция) позволяет генерировать точно контролируемое излучение для хирургических целей (вапоризация) с четким контролем термального повреждения и относительного гемостаза, а также для применения в дерматологических и эстетических целях с возможностью гибкого контроля нагрева ткани при проведении процедур.

Разделение луча на фракции позволило создать метод «фракционная шлифовка», которая навсегда вытеснила метод «сплошной абляции» с его недостатками (длительный период реабилитации, высокий риск инфицирования и появление дисхромии кожи).

Прежде чем перейти к сравнению этих двух лазерных аппаратов, рассмотрим эффекты, которые реализуются в коже за счет поглощения энергии через ее трансформации в тепловую. Поглощенное хромофорами излучение вызывает локальное повышение температуры, которое в свою очередь может привести к необратимым изменениям.

Карманчиков Владимир Сергеевич

С ростом интенсивности воздействия происходит увеличение температуры нагрева ткани, сопровождающееся следующими процессами:

  • Cтимуляция внутри клеточных процессов (37,5 – 39 °С)
  • Денатурация белка и разрушение мембран (при 40 – 45 °С)
  • Коагуляция и некроз (60 °С)
  • Обезвоживание (100 °С)
  • Карбонизация (150 °С)
  • Вапоризация (свыше 300 °С)
Рис. 1. Кривая абсорбции.

Стоит также подчеркнуть, что различные тепловые эффекты воздействия лазерного излучения на ткань никогда не наблюдаются по отдельности и присутствуют всегда, однако размер этих зон зависит от длины волны лазерной системы.

Карманчиков Владимир Сергеевич
Рис. 2. Зоны абляции и зона термического эффекта (коагуляции): с левой стороны – Er:YAG, с правой стороны – CO2.

CO2 лазерные системы имеют длину волны в 10 600 нм, в то время как эрбиевые лазерные системы – 2940 нм, при этом коэффициент поглощения энергии хромофором (молекулы воды) у данной лазерной системы равен 12000 cm-1, у CO2 лазера – 800 cm-1. Это говорит о том, что излучаемая эрбиевым лазером длина волны поглощается в 12–15 раз выше, чем у CO2. Это ведет к разнице в термическом эффекте, а именно в размере зоны коагуляции.

Рис. 3. Зона коагуляции на CO2 лазере составляет 100-160 мкм (в зависимости от выставленных параметров), ширина коагуляции на эрбиевом лазере не превышает 30 мкм.

Незначительная зона коагуляции ткани Er:YAG позволяет минимизировать период реабилитации при хорошем клиническом эффекте.

В зарубежных исследованиях 1998–2010 гг. проводились сравнения двух лазерных систем на больших группах испытуемых. Так, например, в одном из исследований были отобраны пациенты в возрасте от 18 до 88 лет с периоральными и периорбитальными рубцами и инволютивными изменениями кожи. Одна половина лица обрабатывалась CO2 лазером, другая – Er:YAG. Метод обработки – сплошная абляция. Эффект оценивался спустя 1 день, 7 дней, 6 месяцев после процедуры.

...
Рис. 4. Пациент на 1-й день после проведенной лазерной шлифовки. Правая сторона – CO2, левая – Er:YAG. Данный пациент не мог открыть правый глаз в течение 24 часов после процедуры вследствие отека!
...
Рис. 5. Этот же пациент спустя 7 дней после проведенной лазерной шлифовки. На стороне, обработанной CO2 лазером (справа), по-прежнему сохранялись эритема и отек, в отличие от стороны, обработанной эрбиевым лазером.
...
Рис. 6. Другой пациент спустя 7 дней после проведенной лазерной шлифовки. Наблюдаются более выраженный отек и гиперемия кожи на стороне, обработанной CO2 (справа), в отличие от левой стороны, обработанной Er:YAG.
...
...

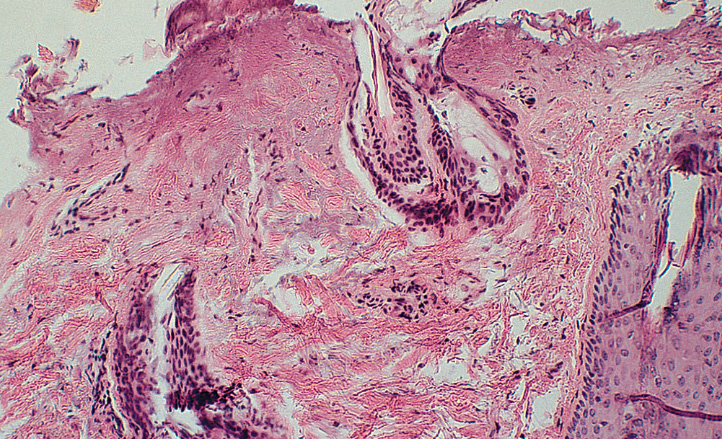
Рис. 7. Биоптат кожи (метод сплошной лазерной шлифовки): Слева – Er:YAG, справа – CO2.

...
...

Рис. 8. Периорбитальные морщины. Левая половина лица – Er:YAG, правая половина лица – CO2. Правое фото – результат спустя 6 месяцев после процедуры.

...
...

Рис. 9. Пероральные морщины. Левая половина лица – Er:YAG, правая половина лица – CO2. Правое фото – результат спустя 6 месяцев после процедуры.

У группы пациентов с инволютивными морщинами периорбитальных и пероральных зон (возраст 65–80 лет) отмечалась положительная динамика на обеих половинах лица, однако лифтинг-эффект глубоких морщин кожи был выражен лучше на стороне, обработанной CO2 лазерной системой.

Диоксидуглеродные (CO2) лазерные системы, безусловно, позволяют справиться с широким спектром задач, особенно когда речь касается выраженных гипертрофических и постакне рубцов кожи благодаря более выраженному термическому эффекту, который вызывает контрактуру белка за счет выраженной зоны коагуляции → расширение кровеносных сосудов дермы → выход провоспалительных цитокинов → начало ретракции и полимеризации фибрина → запуск неоколлагенеза.

Но как быть, когда речь касается атрофических рубцов кожи?

Ведь атрофические рубцы возникают в результате сниженной реакции соединительной ткани на травму, вследствие чего образуется недостаточно коллагена. В исследованиях Tay, Kwok (2008) участвовало 150 добровольцев с тремя видами атрофических рубцов: V-образные, М-образные, U-образные, сравнивалась эффективность CO2 и эрбиевой шлифовки при работе с ними. У пациентов, которым была проведена шлифовка на эрбиевом лазере, отмечалось улучшение U-образных рубцов – в 52,9 % случаев, М-образных – в 43,1 % случаев, V-образных – в 25,9 % случаев, в то время как у CO2 лазера наблюдалось улучшение U-образных типов – 23,3%, М-образных – в 15 %, V-образных – в 17,7 %, и в настоящее время эрбиевый лазер является стандартом в лечении атрофических рубцов кожи.

В настоящее время эрбиевые лазеры стали стандартом в лечении атрофических рубцов кожи!

В своей врачебной практике я применяю две лазерные системы:

  • Eraser C-RF (CO2 лазер, 10 600 нм)
  • Lotus II (Er:YAG лазер, 2940 нм)

В CO2 лазерной системе Eraser C-RF широкий выбор параметров, это позволяет создать индивидуальные протоколы под каждого пациента. Возможность дополнительного подключения гинекологических и ЛОР-манипул, без «апгрейда» аппарата и без переключений сканеров. Трубка Когерент (металлическая, двоякозаваренная и вакуумная) делает лазерную систему бессрочной. Уникальная возможность работы в стековом режиме (до 50 стеков), формирование в режиме «дождь» хаотичной подачей в стабильном режиме упорядоченную фракционную зону. Данная функция позволяет мягко обрабатывать зону без использования аппликационной анестезии.

Современная эрбиевая лазерная система Lotus II (компания LaserOptek, Южная Корея) позволяет проводить как «холодные и ультрахолодные», так и «горячие» лазерные шлифовки, приближенные к CO2 лазерным системам. Все это возможно благодаря наличию выбора длительности импульса от ультракороткого – 40 мкс («холодные» шлифовки), практически без периода десоциализации и реабилитации («шлифовки выходного дня»), до ультрадлинного импульса длительностью 5000 мкс («горячие шлифовки»). Более того, аппарат Lotus II помимо регистрационного удостоверения Росздравнадзора имеет одобрение FDA, что доказывает его широкое применение на рынке США и Европы. Аппарат имеет ряд преимуществ:

  • Термокомпенсатор линз
  • Плоский профиль луча
  • Ресурс лампы 10 млн импульсов
  • Наличие нескольких насадок для удаления новообразований, проведение фракционных шлифовок, набор гинекологических насадок

Клинические случаи

...
...

Рис. 10. Омоложение и устранение рубцов постакне при помощи аппарата CO2 Eraser C-RF.

...
...
...
...
...
...

Рис. 11. Устранение стрий и атрофических рубцов на аппарате Lotus II Er:YAG.

Заключение

Из-за разности длин волн у CO2 лазера (10 600 нм) и Er:YAG (2 940 нм) различается и степень поглощения лазерной энергии хромофором воды. Излучаемая эрбиевым лазером энергия поглощается хромофором воды в 12-15 раз больше, чем у CO2 лазерной системы, благодаря чему мы видим совершенно разные клинические эффекты. CO2 лазер справляется с выраженными гипертрофическими рубцами, глубокими инволютивными морщинами, однако практически всегда имеет длительный период десоциализации и реабилитации для пациента, в то время как эрбиевый лазер прекрасно справляется с нормо- и атрофическими рубцами кожи, «подтяжкой лица», возрастными изменениями кожи с коротким периодом реабилитации.

В своей практике я использую обе лазерные системы (Eraser-C-RF и Lotus II), поскольку они не исключают, а дополняют друг друга и открывают широкие возможности для решения многих эстетических задач!

Источники:

  1. Khatri KA, Ross V, Grevelink JM, Magro CM, Anderson RR. Comparison of Erbium:YAG and Carbon Dioxide Lasers in Resurfacing of Facial Rhytides. Arch Dermatol. 1999;135(4):391–397. doi:10.1001/archderm.135.4.391
  2. Goldust M (2014) The efficacy and safety of Er:YAG laser for treatment of atrophic acne scars, 1: DOI: 10.15761/GOD.1000116
  3. Tay YK, Kwok C (2008) Minimally ablative erbium:YAG laser resurfacing of facial atrophic acne scars in Asian skin: a pilot study. Dermatol Surg 34: 681-685
  4. Hu S, Hsiao WC, Chen MC, Huang YL, Chang SL, et al. (2011) Ablative fractional erbium-doped yttrium aluminum garnet laser with coagulation mode for the treatment of atrophic acne scars in Asian skin. Dermatol Surg 37: 939-944.

Еще по теме

Коррекция филлерами влагалища эффективна минимум в течение года
Новость
Коррекция филлерами влагалища эффективна минимум в течение года
инъекции
филлеры
интимная пластика
Доказано, что циркадные ритмы влияют на метаболизм коллагена
Новость
Доказано, что циркадные ритмы влияют на метаболизм коллагена
коллаген
космецевтика
наружные препараты
Новая схема ботулинотерапии шеи: меньше расход, тот же результат
Новость
Новая схема ботулинотерапии шеи: меньше расход, тот же результат
инъекции
ботулотоксин
шея и декольте
«Оземпик-фейс» стали гуглить в 46 раз чаще
Новость
«Оземпик-фейс» стали гуглить в 46 раз чаще
тренды
похудение
пластическая хирургия