Фракционные CO₂ и 1570 нм лазеры: прогнозы развития и применения

15.10.2025
Статья
Статья
15.10.2025
14302
5 мин на прочтение
аппараты
лазеры
рубцы
постакне
Какие мировые тенденции прогнозируются на рынке лазерных аппаратов и как развитие технологий будет работать в клинической практике

Рынок фракционных лазерных машин CO₂ переживает трансформационный рост благодаря изменяющейся рыночной динамике, технологическим достижениям и увеличению применения в различных отраслях. По данным Verified Market Reports и Market Research Intellect, рынок CO₂-лазеров демонстрирует устойчивый рост. В 2025 году объем индустрии CO₂-лазеров составит $2,43 млрд. К 2037 году рынок превысит $4,47 млрд при среднегодовом темпе роста более 5,5 %. Основные тенденции в эстетической медицине — рост спроса на минимально инвазивные процедуры и повышенный интерес пациентов к лазерному омоложению и коррекции рубцов как альтернативе хирургии. Комбинированное применение технологий позволяет повысить эффективность лечения при сохранении приемлемого профиля безопасности. Устойчивое развитие и новые запросы пациентов будут определять дальнейшее развитие индустрии лазерных технологий и внедрение более оптимальных (гибридных) протоколов с минимизацией боли и реабилитации, персонализацией. Врач-физиотерапевт, лазеротерапевт Лилианна Мыслович рассказывает о том, как будут меняться технологии в дерматологии на примере фракционных лазеров CO₂ и неаблятивных систем 1570 нм.

Рынок фракционных лазерных машин

Лазерная шлифовка: как изменится процедура в будущем

Лазерные шлифовки кожи по-прежнему занимают важное место в эстетической медицине. Абляционные фракционные CO₂-лазеры признаны «золотым стандартом» в лечении рубцов и выраженных текстурных изменений кожи, в то время как неаблятивные фракционные лазеры (в диапазоне 1540–1570 нм) являются эталоном высокоэффективного омоложения тканей посредством мягкой стимуляции коллагенеза при отсутствии реабилитации.

Перспективу усиления результатов открывает комбинация двух технологий — CO₂ и 1570 нм: глубокая абляция сочетается с дополнительной термической стимуляцией дермы.

В последние годы гибридные и мультиволновые платформы становятся все более востребованными. Это связано с особенностями воздействия каждого лазера в моноволновом режиме и возможностью комбинировать их в гибридных методиках.

История развития лазерных технологий

Год / десятилетие Событие
1964-1965 Создание CO₂-лазера (К. Пател, Bell Labs)
1970-1980-е< Внедрение в хирургию и дерматологию
1990-е Развитие импульсных и сканирующих режимов
2004 Введение фракционного фототермолиза (fractional CO₂)
2000-2010-е Распространение неаблятивных лазеров 1540-1570 нм
2020-е Гибридные и мультиволновые платформы (Alma Hybrid и аналоги)

Последовательное применение CO₂- и 1570 нм лазеров рассматривается как безопасная и эффективная методика, позволяющая сокращать сроки реабилитации, повышать однородность ремоделирования дермы, уменьшать выраженность рубцов и фотоповреждений, расширять возможности эстетической медицины для разных групп пациентов. Примером такого использования двух технологий является аппарат Hybrid от Alma. Особенность его заключается в том, что специалист, как «в кране с холодной и горячей водой», может регулировать соотношение «абляция/неабляция», составляя персонализированный протокол для каждой задачи и зоны. Аппарат Hybrid отличает и наличие запатентованной технологии ультразвуковой трансдермальной доставки медикаментов IMPACT. Несфокусированный ультразвук с переменным потенциалом давления увеличивает объем доставки препаратов в дерму.

Принцип работы HyGrid
Принцип работы HyGrid

Технологические особенности Alma Hybrid / HyGrid

  • Одновременное или программируемое соотношение абляции/коагуляции.
  • Возможность настройки глубины абляции, ширины коагуляции, плотности и силы повреждения в микротермальной зоне.
  • Аппарат имеет пресеты протоколов на основе клинических данных.
  • Аппликатор ProScan с улучшенной эргономикой для удобства специалиста и системой охлаждения для комфорта пациента.
  • Технология IMPACT Ultrasound для трансэпидермальной доставки препаратов позволяет работать через микроканалы повреждения от CO₂-лазера.

Сравнительные характеристики лазеров с гибридной технологией и моноволновых

Параметр CO₂-лазер 1570 нм Гибрид (HyGrid)
Механизм Абляция + коагуляция Термостимуляция дермы Сочетание абляции и теплового воздействия
Эффект Глубокое ремоделирование, выраженный результат Мягкое уплотнение дермы, деликатное омоложение Сильное ремоделирование + контролируемый downtime
Время восстановления 7-14 дней 1-3 дня 4-7 дней (в среднем)
Побочные эффекты Эритема, риск поствоспалительной гиперпигментации Минимальные Умеренные, сопоставимы с СО₂, но короче по выраженности
Показания Рубцы, морщины, фотостарение Мелкие дефекты, профилактика Рубцы, морщины, фотоповреждения, комбинированные показания

Клинические исследования применения Alma Hybrid

...
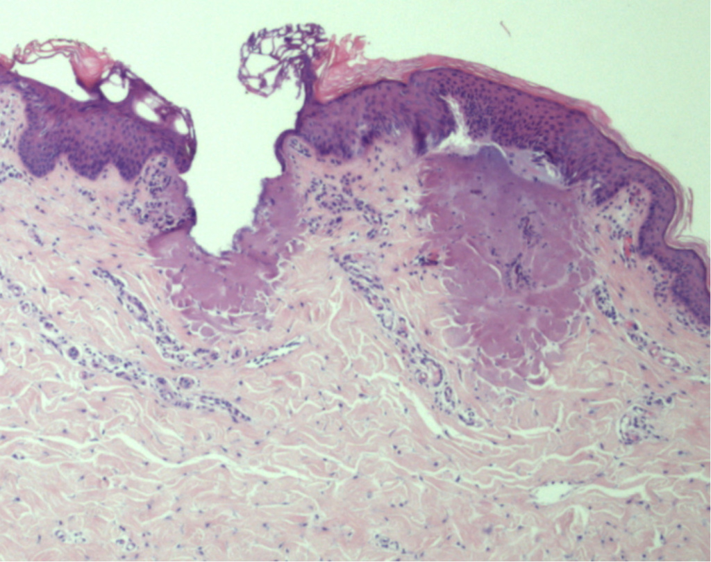
Гистологическое сравнение воздействия CO₂, 1570 нм и HyGrid

В зоне лица, в частности в периорбитальной, аппарат показал следующие результаты:

  • Улучшение по шкале GAIS: 1–2 балла у большинства пациентов.
  • Удовлетворенность пациентов: средний показатель 3,1/4.
  • Среднее время социальной реабилитации: 5,9 ± 1,7 дня.
  • Частота побочных явлений: эритема, зуд, корки, умеренная гиперпигментация (обратимая).
  • Клиническое улучшение: в диапазоне 26–50 %.

Преимущества гибридного подхода (суммация на основе обзора исследований):

  • Сочетает эффективность CO₂ и безопасность неаблятивного воздействия.
  • Дает равномерное ремоделирование коллагеновых структур.
  • Позволяет работать с тонкой кожей — например, периорбитальной.
  • Снижает риск осложнений при сохранении выраженного эффекта.

Перспективы применения гибридных лазеров

Индивидуализация протоколов

  • Фототипы I–III: возможно более агрессивное сочетание CO₂ и 1570 нм.
  • Фототипы IV–V:** рекомендуется увеличение доли 1570 нм для минимизации риска гиперпигментации.
  • Зоны лица: периорбитальная и периоральная области выигрывают от мягкого гибридного подхода.

Показания к использованию гибридных технологий

  • Постакне и рубцы различной давности.
  • Фотостарение (морщины, снижение эластичности).
  • Гиперкератозы и текстурные нарушения.
  • Комплексные программы anti-age терапии.

Экономические и организационные перспективы

  • Сокращение времени реабилитации повышает привлекательность процедур для пациентов.
  • Возможность предлагать «гибридные протоколы» увеличивает ценность клиники и средний чек.
  • Встраивание технологии Alma Hybrid в бизнес-модель клиники позволяет расширить спектр услуг и повысить ROMI.

Практические рекомендации

  • Использовать поэтапные протоколы: старт с мягких режимов → переход к комбинированным.
  • Применять топические средства через микроканалы (IMPACT Ultrasound).
  • Обязательно документировать результаты (фото, шкалы GAIS, удовлетворенность).
  • Включать гибридные методики в комплексные skin-programs для увеличения числа повторных визитов.

Заключение

Фракционные CO₂ и 1570 нм лазеры — ключевые технологии современной эстетической медицины. Их комбинация формирует новый стандарт: безопасность, высокая эффективность и сокращенное время восстановления. Системы нового поколения, такие как Alma Hybrid / HyGrid, обеспечивают синергетический эффект, позволяя достигать высокой эффективности при оптимальном времени восстановления. С учетом прогнозируемого роста рынка (до $4,47 млрд к 2037 г.), клинического подтверждения безопасности и растущего спроса на персонализированные малоинвазивные методики, гибридные технологии займут ключевую роль в эстетической медицине следующего десятилетия.

Источники:

  1. Verified Market Reports. Scientific Lasers Market Size, Industry Development & Forecast 2033. URL: https://www.verifiedmarketreports.com/product/scientific-lasers-market/
  2. Kono T., Chan H. H., Groff W. F., Manstein D., Sakurai H., Tekeuchi M., Yamaki T., Soejima K., Nozaki M. Prospective direct comparison study of fractional resurfacing using different fluences and densities for skin rejuvenation in Asians. Lasers Surg. Med., 2007, 39. Р. 311–314.
  3. Manstein D., Herron G. S., Sink R. K. et al. Fractional photothermolysis: a new concept for cutaneous remodelling using microscopic patterns of thermal injury. Lasers Surg. Med., 2004, 34. Р. 426–438.
  4. Ross E., McKinlay J., Anderson R. Why does carbon dioxide laser resurfacing work. Arch. Dermatol., 1999, 135. Р. 444–445.
  5. Shenhav LT, Shehadeh W, Alcotzer I, Artzi O. Hybrid fractional laser facial resurfacing: A comparison between a single treatment at high settings versus multiple treatments at low to moderate settings. Lasers Surg Med. 2024 Jan;56(1):68-74.
  6. Haykal D, Cartier H, Goldberg D, Gold M. Advancements in laser technologies for skin rejuvenation: A comprehensive review of efficacy and safety. J Cosmet Dermatol. 2024 Oct;23(10):3078-3089.
  7. Обзор. Dermatol Surg 2023 May 1;49(5):479-482.
  8. Tsur Shenhav L, Shehade W, Muravnik G, Horovitz T, Artzi O. The Safety and Efficacy of a Dual CO 2 and 1570-nm Hybrid Laser for Periorbital Rejuvenation. Dermatol Surg. 2023 May 1;49(5):479-482.

Реклама:

ООО «НЕЗАВИСИМАЯ КОРПОРАЦИЯ КРАСОТЫ»
Erid: 5jtCeReLm2g13jnxcGiqUjz

Еще по теме

Emface + Exion: возможности синергии
Протокол
Emface + Exion: возможности синергии
аппараты
нижняя треть
микроигольчатый рф-лифтинг
Экзосомы на российском рынке: 5 популярных продуктов
Подборка
Экзосомы на российском рынке: 5 популярных продуктов
экзосомы
наружные препараты
Полимолочная кислота — новый тренд или старый трюк?
Продуктовая статья
Полимолочная кислота — новый тренд или старый трюк?
полимолочная кислота
осложнения
наружные препараты