Аллергия – «фобия» иммунной системы

14.03.2018
Статья
Статья
14.03.2018
58014
6 мин на прочтение
Как избежать нежелательных реакций при использовании филлеров на основе гиалуроновой кислоты?

В практике врача эстетической медицины количество пациентов-аллергиков растет с каждым годом в геометрической прогрессии. В их рядах все чаще оказываются люди, которые ранее не страдали специфической реакцией организма. Почему так происходит и что делать в данной ситуации?

По мнению иммунолога Майкла Леви (Dr. Michael Levi), который был удостоен награды Международной ассоциации здравоохранения за исследования иммунной системы, аллергия аналогична фобии. Доктор Леви утверждает, что при стрессе (напр., психологическое напряжение, работа, семья и тд) иммунная система срабатывает подобно механизму возникновения фобических реакций и приходит в такое возбужденное состояние, что начинает атаковать собственный организм, хотя никакая опасность ему не угрожает1. Именно поэтому в мегаполисах и растущих городах заболеваемость аллергией среди взрослого населения растет стремительными темпами, так как иммунная система постоянно провоцируется стрессовыми факторами.

Несколько слов о физиологии

Кожа является органом, контактирующим с внешней средой и способным запускать множество реакций для защиты организма от воздействия повреждающих факторов.

Есть два типа иммунитета: врожденный и приобретенный.

Двумя основными типами клеток приобретенного иммунитета в эпидермисе являются кератиноциты и клетки Лангерганса. Очень важную роль в системе врожденного иммунитета играют нейтрофилы, макрофаги и дендритные клетки. При проникновении инородного вещества в организм происходит активация клеток врожденного иммунитета через системы образраспознающих рецепторов (TLR). Активированные клетки врожденного иммунитета вырабатывают цитокины и медиаторы воспаления, влияющие на систему приобретенного иммунитета.

Активация иммунных клеток – один из важнейших механизмов защиты кожи от антигенов и токсинов. Парадоксально, но механизм защиты легко становится причиной поломки, и активация иммунных механизмов может сопровождаться воспалительными процессами, которые заканчиваются развитием нежелательных явлений или осложнений в ответ на введение филлеров2.

В косметологической практике врачу все больше внимания приходится уделять сбору анамнеза и оценке рисков того или иного вмешательства в организм. И статистика заставляет задуматься.

По данным исследования компании «Вадемекум», в России в 2017 году было оказано косметологических услуг с использованием около 2000000 мл дермальных филлеров.

Дермальный филлер на основе гиалуроновой кислоты всегда следует рассматривать как «имплантат». Попадая в организм пациента, филлер может вызвать как ярко выраженную немедленную аллергическую реакцию, так и стать причиной отсроченных проявлений этого процесса.

В патофизиологии такие реакции принято называть механизмами развития аллергических реакций гиперчувствительности замедленного и немедленного типа3.

Гиперчувствительность немедленного типа (ГНТ) обусловлена антителами против аллергенов. Развивается через несколько минут или часов после воздействия аллергена: расширяются сосуды, повышается их проницаемость, развиваются зуд, сыпь, отеки. Поздняя фаза ГНТ дополняется действием продуктов эозинофилов и нейтрофилов.

Гиперчувствительность замедленного типа (ГЗТ) относится к IV типу аллергии (по Джеллу и Кумбсу). Она обусловлена взаимодействием антигена (аллергена) с макрофагами и Thl-лимфоцитами, стимулирующими клеточный иммунитет. Развивается через несколько суток после воздействия аллергена: происходит уплотнение и воспаление ткани в результате ее инфильтрации Т-лимфоцитами и макрофагами4.

Врачу-косметологу необходимо помнить, что все основные используемые в практике филлеры на основе гиалуроновой кислоты отличаются потенциалом высвобождения медиаторов воспаления. Высвобождаемые при этом интерлейкины и хемокины способны провоцировать воспалительную реакцию в тканях.

В августе 2015 года независимые исследователи провели ретроспективный анализ пациентов, которые в период с 1 февраля 2009 года по 30 сентября 2014 года проходили 3D-моделирование лица при помощи препарата Juvederm Voluma. В течение 68 месяцев было проведено 4 702 процедуры с использованием 11 460 мл филлера. У 23 пациентов отмечалось образование узелков в местах введения препарата. Среднее время от инъекции до реакции составляло 4 месяца, а время до разрешения – 6 недель. Девять из 23 пациентов (39 %) имели идентифицируемый иммунологический триггер5.

Влияет ли качество и технология производства филлеров на риск развития аллергических реакций?

В 2008–2009 годах на базе Центра пластической и эстетической хирургии (Кельн, Германия) было проведено сравнительное исследование тканевого ответа на интрадермальное введение различных материалов для инъекционной контурной пластики на основе стабилизированной гиалуроновой кислоты и коллагена6.

В исследовании сравнивали популярные филлеры на основе гиалуроновой кислоты: Belotero® Balance (Basic), Juvéderm® ULTRA 3, Restylane®, Surgiderm® 24 XP, and Teosyal® Global Action, а также филлеры для более глубокого введения 30 HV, Restylane® Perlane, Surgiderm® 30, and Teosyal® Deep Lines, а также филлеры на основе коллагена.

В исследовании приняли участие четыре пациента (возраст 39–69 лет), которым планировалось провести липосакцию в области живота. Всем волонтерам за 30 дней до операции были инъецированы в кожу живота 11 различных филлеров (по 0,2 мл).

На 14-й и 30-й день после имплантации из маркированных зон под местной анестезией были взяты образцы тканей. Для обнаружения возможных острых реакций образцы тканей у одного пациента были взяты через четыре часа после инъекций.

Дальнейшие результаты оценивались на 14-й и 30-й день после инъекции (рис. 1, 2).

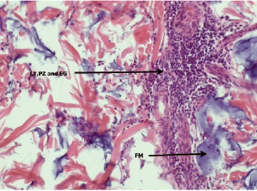
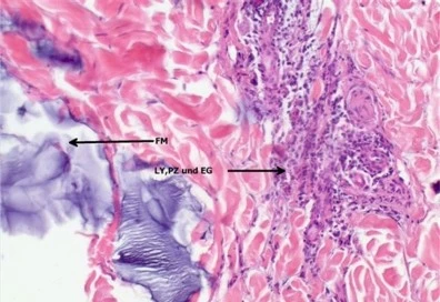
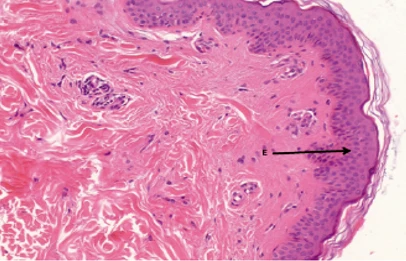
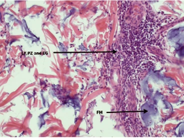
Рис. 1. Окрашивание гематоксилин-эозином, x 20, E - эпидермис, LY - лимфоциты, PZ - плазмоциты, EG - эозинофильные гранулоциты, FM – инородный материал.

...
Surgiderm® 24XP. Выраженное хроническое воспаление, инфильтрация лимфоцитами и плазмоцитами LY, PZ.
...
Juvéderm® 30HV. Слабое или средневыраженное хроническое воспаление: LY, PZ, EG.
...
Teosyal® Deep Lines. Ярко выраженное хроническое воспаление: LY, PZ, EG.
...
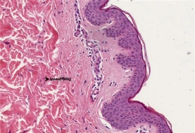
Belotero® Basic. Гистоморфологическая реакция воспаления отсутствует.

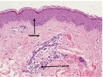
Рис. 2. Окрашивание гематоксилин-эозином, x 20, E - эпидермис, LY - лимфоциты, PZ - плазмоциты, EG - эозинофильные гранулоциты, FM – инородный материал.

...
Juvéderm® 30HV. Слабое или средне выраженное хроническое воспаление, повышенный уровень лимфоцитов, плазмоцитов и эозинофилов: LY, PZ, EG.
...
Restylane® Perlane. Выраженное хроническое воспаление, значительная инфильтрация лимфоцитами, плазмоцитами и эозинофилами: LY, PZ, EG.
...
Teosyal® Deep Lines. Ярко выраженное хроническое воспаление, аномально ярко выраженная инфильтрация лимфоцитами и плазмоцитами: LY, PZ, EG.
...
Belotero® Intense. Гистоморфологическая реакция воспаления отсутствует. Равномерное распределение материала.

Результаты эксперимента показали отсутствие признаков воспалительной реакции в ответ на введение только двух филлеров на основе ГК – Belotero® Balance и Belotero® Intense (рис. 1, 2), в то время как все другие филлеры показали признаки хронической воспалительной реакции. Значительного различия между результатами исследования образцов, взятых через 14 и 30 дней после введения, отмечено не было.

Заключение

При проведении коррекции с использованием филлеров на основе гиалуроновой кислоты врачу-косметологу следует учитывать не только эстетический результат и пожелания пациентов, но и принимать во внимание возможность развития хронической аллергической реакции на введенный препарат.

Инъекции дермальных филлеров, как правило, являются повторяющейся процедурой. Так как и пациент, и врач рассчитывают на длительное нахождение филлера в тканях, им следует обратить внимание на возможный риск активации иммунной системы, и выбирать наполнители с максимально низкой иммунореактивностью, чтобы минимизировать риск возникновения нежелательных последствий.

Источники:

  1. Viruses, plagues and history: past, present and future/ Michael B.A. Oldstone/Oxford University Press/ 2010/ pg. 314
  2. http://www.1nep.ru/pro/articles/205306/
  3. Адо А. Д. Патологическая физиология. Томск, 1994.
  4. Rajan T. V. The Gell – Coombs classification of hypersensitivity reactions: a re-interpretation. TRENDS in Immunology Vol.24 No.7 July 2003.
  5. Dermatol Surg. 2015 Aug;41(8):929-39. doi: 10.1097/DSS.0000000000000418. Delayed-onset nodules secondary to a smooth cohesive 20 mg/mL hyaluronic acid filler: cause and management. Beleznay K1, Carruthers JD, Carruthers A, Mummert ME, Humphrey S
  6. Taufig A et al. A new strategy to detect intrader - mal reactions after injection of resorbable dermal fillers. J Ästhetische Chirurgie 2009; 2: 29–36.

Еще по теме

Коррекция филлерами влагалища эффективна минимум в течение года
Новость
Коррекция филлерами влагалища эффективна минимум в течение года
инъекции
филлеры
интимная пластика
Доказано, что циркадные ритмы влияют на метаболизм коллагена
Новость
Доказано, что циркадные ритмы влияют на метаболизм коллагена
коллаген
космецевтика
наружные препараты
Новая схема ботулинотерапии шеи: меньше расход, тот же результат
Новость
Новая схема ботулинотерапии шеи: меньше расход, тот же результат
инъекции
ботулотоксин
шея и декольте
«Оземпик-фейс» стали гуглить в 46 раз чаще
Новость
«Оземпик-фейс» стали гуглить в 46 раз чаще
тренды
похудение
пластическая хирургия