«Body Positivity» на аппарате TherraWave с технологией ISRF™: новая формация процедур по коррекции контуров тела

17.05.2021
Статья
3270
9 мин на прочтение
Статья
17.05.2021
3270
9 мин на прочтение
Статья о безопасности и эффективности воздействия интерактивно-селективного RF-липолиза с использованием электрического поля радиочастоты (27,12 МГц) и диэлектрическим механизмом воздействия на подкожно-жировую клетчатку для получения желаемых контуров тела

Введение

Мыслович Лилианна Владимировна

Технологический бум промышленности отражается и на медицинской аппаратной индустрии, автономные комплексы с еще более безопасными и эффективными методиками появляются на рынке эстетической медицины. Вектор запросов от пациентов меняется, и направление на ЗОЖ инициирует запрос технологий по преобразованию контуров тела, а не только лица. Использование фактора «электрическое поле в косметологии» не является чем-то диковинным. На службе у косметологов уже есть гальванизация, ионофорез (электрофорез), миостимуляция, микротоки, д’Арсонваль, электропорация, электрическое поле радиочастоты (RF), а в физиотерапии уже давно применяется ДМВ, СМВ, УВЧ (интерференцтерапия), индуктотермия, диадинамические токи (ДДТ), синус-модулированные токи (СМТ) и прочее.

Все вышеперечисленные виды токов имеют различную классификацию по механизму действия на биологические ткани, а также по техническим характеристикам. Мы же остановимся на электрических полях радиодиапазона.

Относительная безопасность для организма человека токов высоких частот (даже при высоких напряжениях) была экспериментально доказана Н. Тесла, проводившем такие опыты на себе в 1890-х годах. Он же предположил, что тепловое действие этих токов может быть использовано в медицине.

В практическую медицину метод электротерапии был внедрен чешским врачом Р. Цейнеком в 1908 году. В физиотерапии этот метод получил название диатермия. При его применении производится глубокое прогревание тканей переменным током высокой частоты и относительно большой силы (до 3 Ампер). В медицине диатермия чаще применяется для лечения костно-суставной патологии и внутренних органов. Нагревание кожи и подкожно-жировой клетчатки – «побочное» действие этого метода.

В 1926 году в Германии в качестве лечебного фактора начали использовать электрическое поле ультравысокой частоты (УВЧ).

В 2001 году американской компанией ThermoCool был разработан метод «термаж». В 2002 году термаж был одобрен FDA для применения в эстетической косметологии для неинвазивной коррекции морщин и стал первой процедурой технологии RF-лифтинга. В отличие от диатермии и УВЧ при проведении «термажа» основное тепловыделение происходит в коже и подкожно-жировой клетчатке.

В ходе взаимодействия электромагнитного поля радиочастотного диапазона и покровных тканей пациента образуется два вида электрического тока:
  • Ток проводимости
  • Ток смещения

В структурах, обладающих относительно высокой электропроводностью (кровь, лимфа) заряженные частицы совершают колебания с частотой колебаний этого поля, возникает ток проводимости. Колебание частиц происходит в вязкой среде, вызывая поглощение энергии, связанное с преодолением сопротивления этой среды.

В тканях, по своим электрическим свойствам, близко стоящим к диэлектрикам (нервная, соединительная, жировая, костная), образуются полярные молекулы (диполи), которые изменяют свою ориентацию с частотой колебания высокочастотного поля. За счет вращения дипольных частиц в диэлектриках возникает ток смещения. При совершении колебательных и вращательных движений частицы совершают работу, которая сопровождается выделением тепла. В зависимости от частоты электрического поля можно выделить преобладание одного вида тока над другим, а соответственно, и механизмов разогрева тканей одного над другим.

Ток проводимости вызывает резистентный механизм нагрева (преодолевающий сопротивление).

Ток смещения вызывает диэлектрический механизм нагрева.

Резистивный против диэлектрический нагрева
Резистивный против диэлектрический нагрева

Распространенные устройства, одобренные FDA для работы на частоте:

  • 470 кГц (470 тысяч импульсов в секунду),
  • 4 или 6 МГц (4 или 6 миллионов импульсов в секунду, соответственно).

Есть множество других аппаратов, но обычно частота импульсов не бывает больше 9 МГц. Чтобы метод был эффективным, следует также помнить, что устройство прежде всего должно иметь высокую мощность. Такая серия аппаратов (частота до 10 МГц) реализует нагрев через резистентный механизм. Электромагнитные волны RF с частотой 27,12 МГц слабо поглощаются молекулами воды, поэтому они почти не взаимодействуют с кожей и мышцами, в составе которых порядка 70–80 % воды. Жировые клетки, напротив, содержат всего 13–15 % воды и, соответственно, принимают на себя большую часть энергии (~95 %).

При нагревании кожи электрическим полем радиочастоты усиливаются пролиферативные процессы соединительнотканных элементов. За счет увеличения проницаемости стенок кровеносных капилляров усиливается поступление в зону воздействия различных иммунных тел и других защитных клеток ретикулоэндотелиальной системы. Существенно усиливается кровоток и лимфообращение.

Технология ISRF ™ – интерактивный селективный RF

С 2000 годов на рынке появилась технология бесконтактного RF-воздействия для уменьшения объемов подкожно-жировой клетчатки. Такая методика была рекомендована в качестве безопасного и эффективного метода после нескольких проведенных исследований:

  • Fajkošová K, Machovcová A, Onder M, Fritz K. Селективная радиочастотная терапия как неинвазивный подход для бесконтактной контурной пластики тела и уменьшения окружности.
  • Франко В, Котаре А, Голдберг Дж. Управляемый объемный нагрев подкожной жировой ткани с использованием новой радиочастотной технологии.
  • Boncheol Goo, Дэ Сук Ким. Влияние бесконтактного апоптоз-индуцирующего радиочастотного излучения на температуру поверхности кожи человека и подкожного слоя.

В этих исследованиях изучали температурные изменения поверхности кожи человека во время лечения и гистологические изменения в подкожном жире свиньи после воздействия нового бесконтактного адипоапоптоз-индуцирующего RF-устройства.

В многократных исследованиях на практике было доказано, что диэлектрическая проницаемость жира намного ниже, чем кожи, поэтому жир генерирует больший электрический поток, чем кожа. Таким образом, бесконтактную технологию RF можно использовать для того, чтобы доставить энергию выборочно, строго селективно к подкожно-жировой клетчатке, избегая ненужного разогрева от энергии эпидермиса, дермы и мышц.

Фотографии свиной кожи во время радиочастотной обработки
Фотографии свиной кожи во время радиочастотной обработки
Инфракрасные тепловые изображения до радиочастотной обработки
Инфракрасные тепловые изображения до радиочастотной обработки
Инфракрасные тепловые изображения через 30 минут после радиочастотной обработки
Инфракрасные тепловые изображения через 30 минут после радиочастотной обработки
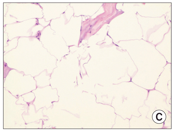
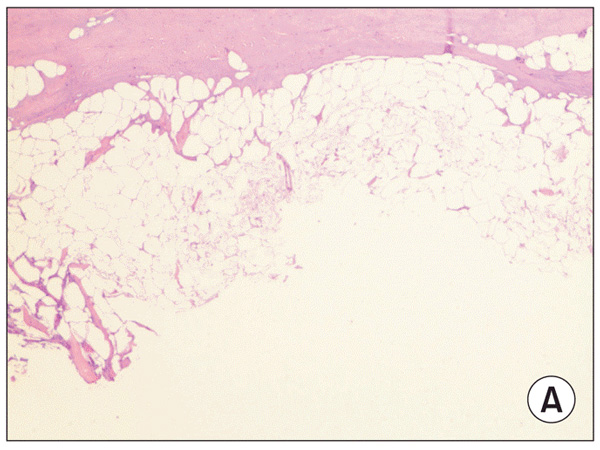
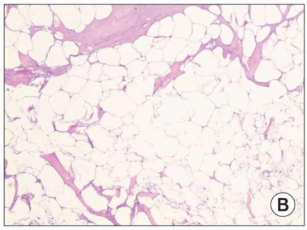
Гистопатологические данные в подкожно-жировом слое
Гистопатологические данные в подкожно-жировом слое свиней после радиочастотной обработки (окрашивание Н&Е, х20)
сморщенные адипоциты
Многие сморщенные адипоциты видны в жировых слоях с отсутствующей воспалительной клеточной инфильтрацией (х40)
ядерная фрагментация между адипоцитами
Несколько апоптотических ядер демонстрируют ядерную фрагментацию между адипоцитами (х100)

Во всех исследованиях была четко продемонстрирована температурная зависимость эффекта.

Адипоциты термочувствительны к температурам 50 и 45 °С в течение 1 и 3 минут, соответственно, наступают необратимые их изменения.

Термическое воздействие до 43–45 °С в течение не менее 15 минут на адипоцит индуцирует его гибель в живом организме, при этом, по данным литературы, порог температуры для повреждения кожи составляет около 50 °С.

Предыдущие исследования показали, что тепло-болевой порог для среднестатистического человека составляет около 43 °С, кроме того, исследователи также сообщили, что 43 °C – это безопасная температура для длительного воздействия горячим предметом для кожи. Поэтому идеальное устройство бесконтактного RF должно нагревать подкожно-жировую клетчатку до 43–45 °C, тогда как кожные покровы – не более 43 °C.

Температура
Температуру вдоль поверхности кожи добровольца-человека контролировали во время радиочастотного воздействия в течение 45 минут, а температуру измеряли в четырех выбранных точках вокруг пупка
Новейшая технология ISRF подачи энергии

Новейшая технология ISRF подачи энергии дистанционно, но избирательно в подкожно-жировую клетчатку, она нагревает адипоциты до температуры 45–46 °С, создавая оптимальные условия для запуска апоптоза. При этом температура на поверхности кожи не превышает 42 °С.

Система body позитива TherraWave с технологией ISRF ™ (Daeyang Medical, Южная Корея)

TherraWave повышает температуру жировых отложений до 45 °С в течение 10 минут, посредством передачи более 95 % ISRF™, благодаря своей блестящей системе контроля сопоставления импеданса. А в это время температура поверхности кожи остается относительно низкой.

ISRF™ также продолжает доставлять энергию выборочно к жировой клетке, вызывая апоптоз.

В течение всей процедуры пациент ощущает в зоне воздействия легкое тепло, очень нежное и расслабляющее.

...
...

Неинвазивный способ эффективного уменьшения жира в целевых областях тела приводит к заметному снижению объема с коррекцией контуров.

ISRF ™ отличается от других электрических факторов, потому что не влияет на нервные и мышечные волокна, но избирательно нагревает клетки подкожно-жировой ткани человека.

Уменьшение в толщине жировой ткани в реальном времени процедуры.

Резистивный против диэлектрический нагрева
Простая процедура в 2 шага: 1) Лечь удобно на кушетку. 2) Получить воздействие (25 мин). Без реабилитации, быстро и комфортно.

Клинические случаи

...
До и после 5 процедур с интервалами 1 неделя
...
До и после 5 процедур с интервалами 1 неделя
...
До и после 2-х процедур

Заключение

TherraWave

Применение технологий по улучшению контуров тела вызывает всплеск интереса у пациентов. Но запросы современных пациентов ориентированы на отсутствие периода реабилитации, комфорт самой процедуры и время, которое должно быть крайне малым для получения наглядных результатов. Современные технологические возможности производства и медицинской науки на стыке как раз и позволяют анонсировать создание уникального бесконтактного интерактивно-селективного RF аппарата TherraWave, соответствующего всем требуемым тенденциям. Работа на аппарате удобна и интеллектуально доступна для специалиста любого уровня знаний, а для пациента процедура простая и комфортная, при этом эффект наглядный с первой процедуры.

Среди аппаратных методик RF-липолиз является самым актуальным по неинвазивности, простоте, безопасности и скорости достижения результата. Процедура «Body Positivity» на аппарате TherraWave – это новые возможности создания как моно-, так и комбинированных протоколов по созданию красивых контуров тела. Радиочастота 27,12 МГц электрического поля позволяет строго селективно нагреть подкожный жир, сохраняя комфортной температуру кожи, при этом активируются процессы микрогемоциркуляции, метаболизма, с увеличением активности липаз, с последующим как прямым, так и отсроченным эффектом сокращения толщины подкожно-жировой клетчатки. Диэлектрический механизм реализации, возникающий на частоте 27,12 МГц, в сочетании с запатентованными технологиями контроля импеданса отраженной энергии, гарантирует безопасную эксплуатацию и максимальный контроль нагрева только целевых структур.

Какие преимущества получает пациент?

  • Видимый результат от одной процедуры
  • Неинвазивность
  • Быстрая процедура (процедура «обеденного» перерыва)
  • Нет реабилитации

Какие преимущества получает врач?

  • Дать пациенту то, о чем тот мечтает
  • Быстрый возврат инвестиций
  • Безопасно и легко проводить процедуру
  • Не требуется лично отпускать процедуру, есть свободное время

Еще по теме

Доказано, что циркадные ритмы влияют на метаболизм коллагена
Новость
Доказано, что циркадные ритмы влияют на метаболизм коллагена
коллаген
космецевтика
наружные препараты
Новая схема ботулинотерапии шеи: меньше расход, тот же результат
Новость
Новая схема ботулинотерапии шеи: меньше расход, тот же результат
инъекции
ботулотоксин
шея и декольте
«Оземпик-фейс» стали гуглить в 46 раз чаще
Новость
«Оземпик-фейс» стали гуглить в 46 раз чаще
тренды
похудение
пластическая хирургия
От эстетики к терапии: расширенные показания лазерной эпиляции
Нативная статья
От эстетики к терапии: расширенные показания лазерной эпиляции
аппараты
лазеры
эпиляция