Ультразвуковая диагностика кожи – первый и важный шаг к составлению эффективного и безопасного протокола Doublo SMAS-лифтинга

15.09.2020
Статья
10240
8 мин на прочтение
Статья
15.09.2020
10240
8 мин на прочтение
В статье описаны разные клинические ситуации и особенности проведения ультразвуковой диагностики подкожно-жировой клетчатки и SMAS при составлении безопасного и эффективного протокола процедур аппаратного SMAS-лифтинга

Безоперационные методы омоложения кожи продолжают быть востребованными. Согласно статистике American Society for Dermatologic Surgery (ASDS) за 2018 год, количество процедур на аппаратах с высокой энергией достигло 3,49 млн и показало прирост в 74 % с 2012 года1, 2.

Безусловно, отмечается ежегодное повышение интереса к процедуре аппаратного SMAS-лифтинга (Superficial Muscular Aponeurotic System, СМАС-лифтинг) как к методике, позволяющей эффективно работать с деформационным типом старения, обеспечивающей выраженный лифтинг тканей и улучшение текстуры и тонуса кожи.

HIFU SMAS-лифтинг на аппарате Doublo отличается сочетанием ультразвуковой диагностики кожи, подкожно-жировой клетчатки и SMAS, а также высокой энергией самих манипул (до 2 Дж/см2). Именно это сочетание обеспечивает высокую эффективность и безопасность процедур на аппарате Doublo.

Визуализация Дабло – ультразвуковая диагностика кожи

Ультразвуковая диагностика высокого разрешения (128-канальный ультразвук) – первый и важный шаг к составлению эффективного и безопасного протокола лечения.

Высокая детализация ультразвуковой картины позволяет определить толщину кожи и подкожно-жировой клетчатки, оценить глубину залегания SMAS, а также плотность и количество соединительной ткани, которая пронизывает подкожно-жировую клетчатку. Кроме того, во время ультразвуковой диагностики оценивается общая глубина мягких тканей, глубокие жировые пакеты и глубина расположения костных структур, наличие имплантов в тканях. На основании этих данных составляется протокол процедуры, который сочетает в себе высокую эффективность и безопасность для пациента, а также позволяет выстроить прогноз о выраженности моментального и отсроченного эффекта, решить вопрос о необходимости дополнительных процедур, работающих в синергии с аппаратным SMAS-лифтингом Doublo.

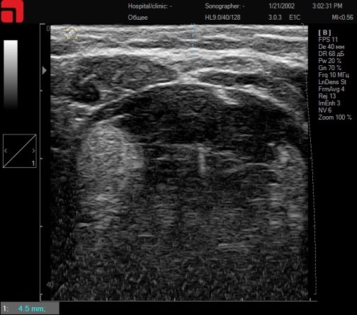
Строение кожи, подкожно-жировой клетчатки и смас в щечной области
Рис. 1. Строение кожи, подкожно-жировой клетчатки и SMAS в щечной области.

Соединительная ткань при сканировании кожи представлена структурами высокой эхогенности (белый цвет на сканограмме) в гиподерме и на SMAS. На данном снимке, сделанном на аппарате Doublo, мы видим (сверху-вниз) собственно кожу (эпидермис и дерма), под ними подкожно-жировую клетчатку с множественными трабекулами и перемычками соединительной ткани (см. замер 2,5 мм), а далее непосредственно SMAS-слой, начинающийся у данного пациента на глубине 4,5 мм. Каждый пункт сканирования несет в себе значимость для эффективной и безопасной работы. Рассмотрим основные точки сканирования и данные, которые можно из них извлечь, а также составим протокол процедуры.

Составляем протокол процедуры на основании ультразвукового сканирования кожи по зонам

Во время сканирования пациент лежит, голова запрокинута, так как именно в таком положении проводится сама процедура в данной области. Следовательно, сканирование тоже необходимо проводить именно в таком положении пациента. Необходимо определить толщину подкожно-жировой клетчатки, наличие в ней соединительной ткани и ее количество, определить глубину поверхностной фасции шеи (fascia superficialis colli), глубже которой работать не следует из-за риска повреждения поднижнечелюстной слюнной железы (glandula submandibularis) (Рис.1.).

В данном случае мы видим, что для достижения оптимального результата в этой области будет использоваться манипула 4,5 мм, так как она попадает на фасцию, способствуя ее максимальному сокращению и укреплению.

Сканирование субментальной области
Сканирование субментальной области

Рис. 1. Сканирование субментальной области.

Главная задача данной точки сканирования – определить, на какой глубине располагается тело нижней челюсти (corpus mandibulae) в наиболее выступающем участке, по нижнему краю (Рис.2.). Этот замер необходим для определения нижней границы работы для безопасного проведения процедуры. В данном случае надкостница начинается на глубине 3 мм, следовательно, нижняя граница для лифтинговых насадок (3 мм M7 и 4,5 мм D4) должна располагаться выше, чтобы не травмировать надкостницу. На данном участке можно работать манипулой 1,5 мм S7.

Сканирование в области тела нижнею челюсти (наиболее выступающая часть кости)
Сканирование в области тела нижнею челюсти (наиболее выступающая часть кости)

Рис. 2. Сканирование в области тела нижнею челюсти (наиболее выступающая часть кости).

Далее проводится сканирование с определением глубины залегания СМАС-слоя, общее содержание соединительной ткани в подкожно-жировой клетчатке в щечной и околоушно-жевательной области (Рис.3.). Именно на этом этапе определяется, какие насадки будут использоваться для лифтинга щечной области, уменьшения выраженности «брылей», морщин «марионеток», носогубных складок. У данной пациентки отмечается большое количество соединительной ткани в подкожно-жировой клетчатке и выраженный SMAS – хорошие прогностические признаки. В протоколе процедуры важно использовать и манипулу M7 3 мм – для уплотнения и сокращения коллагена в ПЖК, и манипулу 4,5 мм D4 – для укрепления соединительной ткани SMAS.

Сканирование щечной области
Сканирование щечной области

Рис. 3. Сканирование щечной области.

В скуловой области необходимо определить глубину залегания костной дуги (Arcus zygomaticus), чтобы не травмировать надкостницу и сосудисто-нервные пучки, выходящие на этой глубине (Рис.4.). При необходимости – не заходить на эту область манипулой соответствующей глубины. В данном случае можно работать манипулами 3 мм M7 и 4,5 мм D4 до верхнего края скуловой дуги, так как надкостница находится на глубине 7,5 мм.

Сканирование скуловой дуги
Сканирование скуловой дуги

Рис. 4. Сканирование скуловой дуги.

Область лба – это участок, в котором часто встречается неверное составление протокола процедуры из-за переоценки глубины возможной работы (Рис.5.). Задача ультразвукового сканирования – определить, на какой глубине заканчиваются мягкие ткани и начинается лобная кость (os frontale). К примеру, на данной сканограмме видно, что лобная кость начинается на глубине 2,8 мм. Следовательно, для эффективной и безопасной работы будет использоваться манипула 1,5 мм S7.

Сканирование области лба
Сканирование области лба

Рис. 5. Сканирование области лба.

Результаты до/сразу после процедуры Doublo HIFU

Результаты до/сразу после процедуры Doublo HIFU
Результаты до/сразу после процедуры Doublo HIFU

С какой интенсивностью надавливать?

Частый и закономерный вопрос, который часто возникает у специалистов: «С какой силой давить на манипулу во время работы?» Ответить на него позволяет ультразвуковая диагностика кожи. Безусловно, есть правила техники работы с манипулой, которые ни в коем случае не должны нарушаться и которые изучаются в процессе первичного тренинга:

  1. Манипула должна всегда четко и без зазоров прилегать к поверхности кожи, не отходить от нее ни на одном из участков.
  2. Манипула должна быть прижата к плоскости кожи перпендикулярно, не отклоняться от угла 90 градусов.

Но для определения силы надавливания на манипулу проводится ультразвуковая диагностика кожи, в процессе которой датчик ультразвукового сканера прикладывается к коже с различной интенсивностью.

Все сканограммы сделаны у одного пациента из одной точки сканирования – средняя часть щечной области.

Соединительная ткань при умеренном надавливании в щечной области
Рис. 1. Соединительная ткань при умеренном надавливании в щечной области.

На данном снимке видно, что у данного пациента SMAS-слой расположен глубоко, с такой интенсивностью надавливания лифтинговые насадки будут работать с соединительной тканью в ПЖК, но существенно повлиять на SMAS-слой не получится, следовательно, эффективность от такого проведения процедуры будет снижена.

Соединительная ткань при сильном надавливании
Рис. 2. Соединительная ткань при сильном надавливании.

Как видно на данном слайде, интенсивное надавливание на манипулу распластывает ПЖК, приближая СМАС-слой к поверхности кожи, делая его более доступным для лифтинговых насадок (3 мм M7 и 4,5 мм D4). Но из-за высокой плотности дермы и выраженной ПЖК, у данного пациента этого будет недостаточно. Это редкие ситуации в клинической практике, но они возможны. В таком случае дополнительно приподнять СМАС-слой, распластав мягкие ткани, можно изнутри, установив интраоральную каппу или заложив ватные диски между зубами и слизистой оболочкой щек.

Соединительная ткань при установке каппы и сильном надавливании на манипулу
Рис. 3. Соединительная ткань при установке каппы и сильном надавливании на манипулу.

Итак, установив каппу и сильно надавливая на манипулу, манипула 4,5 мм D4 будет работать с соединительной тканью SMAS-слоя, что значительно повышает эффективность процедуры. Интенсивность надавливания на манипулу, а также использование дополнительных инструментов может напрямую влиять на глубину расположения соединительной ткани, так как работа ведется с мягкими тканями, которые можно распластать, влияя на глубину их расположения. Таким образом, при проведении ультразвукового сканирования кожи перед процедурой оценивается интенсивность надавливания на манипулу для оптимального попадания по целевым структурам.

Поверхностное расположение структур SMAS

Тонкая кожа – поверхностное расположение соединительной ткани подкожно-жировой клетчатки и SMAS-слоя
Рис. 1. Тонкая кожа – поверхностное расположение соединительной ткани подкожно-жировой клетчатки и SMAS-слоя.

На данном снимке отмечается, что соединительная ткань, а следовательно, и мишень для процедуры, находятся очень поверхностно в тканях, следовательно, для достижения оптимального результата у данного пациента в лифтинговый протокол будет включаться насадка 1,5 мм (S7), которая обычно направлена на работу с качеством и текстурой кожи.

Асимметрия лица – асимметрия SMAS

У данной пациентки во время проведения сканирования была выявлена причина асимметрии лица. На сканограмме с левой половины лица достаточно хорошо выделяется соединительная ткань в ПЖК и на СМАС, сама ПЖК тонкая.

Асимметрия лица – асимметрия SMAS
Асимметрия лица – асимметрия SMAS

На снимке с правой половины лица отмечается более выраженная прослойка подкожно-жировой клетчатки с малым содержанием соединительной ткани.

Асимметрия лица – асимметрия SMAS
Асимметрия лица – асимметрия SMAS
Асимметрия лица – асимметрия SMAS

Как видно на фотографии, эти ультраструктурные изменения послужили причиной асимметрии лица, с более выраженным провисанием справа. Для компенсации асимметрии потребуется сделать большее количество линий справа, для более выраженного формирования и сокращения соединительной ткани и для эффекта адипоцитолиза, что уменьшит выраженность асимметрии и сформирует равномерный лифтинг-эффект.

Заключение

Все приведенные клинические ситуации демонстрируют важность проведения всесторонней ультразвуковой диагностики кожи для составления безопасного и эффективного протокола процедуры.

Во время проведения ультразвуковой диагностики необходимо оценить качество и количество соединительной ткани в подкожно-жировой клетчатке и на SMAS, что поможет подобрать наиболее подходящие манипулы для работы у конкретного пациента. На данном этапе сканирования оценивается интенсивность надавливания на манипулу, так как мягкие ткани, при необходимости, можно распластать, повлияв на глубину расположения целевых структур.

Благодаря аппарату Doublo HIFU появилась возможность проводить аппаратный СМАС-лифтинг с высоким уровнем энергии 2 Дж/см2 в сочетании с детально проработанным протоколом на основании ультразвуковой картины тканей, что позволяет добиваться превосходных результатов от однократной процедуры.

Источники:

  1. American Society for Dermatologic Surgery. 2018 ASDS survey on dermatologic procedures. https://www.asds.net/portals/0/PDF/procedures-survey-results-infographic-2018.pdf
  2. American Society for Dermatologic Surgery. 2019 ASDS survey on dermatologic procedures. https://www.asds.net/Portals/0/PDF/consumer-survey-2019- infographic.pdf

Еще по теме

Доказано, что циркадные ритмы влияют на метаболизм коллагена
Новость
Доказано, что циркадные ритмы влияют на метаболизм коллагена
коллаген
космецевтика
наружные препараты
Новая схема ботулинотерапии шеи: меньше расход, тот же результат
Новость
Новая схема ботулинотерапии шеи: меньше расход, тот же результат
инъекции
ботулотоксин
шея и декольте
«Оземпик-фейс» стали гуглить в 46 раз чаще
Новость
«Оземпик-фейс» стали гуглить в 46 раз чаще
тренды
похудение
пластическая хирургия
От эстетики к терапии: расширенные показания лазерной эпиляции
Нативная статья
От эстетики к терапии: расширенные показания лазерной эпиляции
аппараты
лазеры
эпиляция