УЗИ для оценки состояния филлеров: клинический кейс

20.03.2026
Статья
15494
4 мин на прочтение
Статья
20.03.2026
15494
4 мин на прочтение
Ультразвуковая диагностика помогает в определении биоинтеграции и биодеградации филлеров на основе гиалуроновой кислоты. Разбор на примере STYLAGE® HydroMax

Сегодня в косметологии все большую роль приобретает ультразвуковое исследование мягких тканей: его используют не только для диагностики осложнений, но и для точной послойной коррекции сложных зон, уточнения анамнеза пациента или определения эффективности коррекции. Однако есть еще одно направление использование чрескожного УЗИ в косметологии — это научная деятельность и определение биоинтеграции и биодеградации дермальных имплантатов. Врач-дерматолог, косметолог Олеся Ходова – об изучении филлеров с помощью ультразвука и о клиническом кейсе с препаратом STYLAGE® HydroMax.

Stylage HydroMax
® HydroMax

Стоит сказать, что признаки биоинтеграции и биодеградации на сонограмме пока являются спорными и не до конца измеримыми. Гораздо чаще сонография используется для определения эффективности того или иного препарата, например, для диагностики толщины дермы под влиянием стимулирующих агентов или аппаратных процедур.

В данном клиническом случае описывается клиническая и сонографическая картина после введения в область носогубной складки модулятора качества кожи STYLAGE® HydroMax, а также определяется скорость его биодеградации в тканях.

STYLAGE® HydroMax: модуляция качества кожи вместо биоревитализации

STYLAGE® HydroMax (VIVACY® Laboratoires, Франция) нельзя отнести ни к филлерам, ни к классическим биоревитализантам, поэтому его относят к отдельной категории модуляторов качества кожи.

Препарат воздействует на кожу на трех уровнях:

  • восстанавливает эпидермальный барьер,
  • укрепляет дермо-эпидермальное соединение,
  • восполняет плотность дермы.

STYLAGE® HydroMax содержит 12,5 мг/мл частично стабилизированной гиалуроновой кислоты — сочетания нативной и перекрестно-связанной гиалуроновой кислоты. За счет этого он оказывает достаточно быстрое увлажняющее действие, как у классических биоревитализантов, но при этом обеспечивает пролонгированный эффект до 6–9 месяцев, как у полностью перекрестно-связанных скинбустеров, и при этом не требует курсового применения. Дополнительно в состав препарата включен сорбитол, который широко применяется в косметологии в качестве антиоксиданта и гидрофиксатора. Он схож с глицеролом, однако при введении в кожу не вызывает неприятных ощущений.

У STYLAGE® HydroMax широкие показания к применению:

  • глубокая гидратация и мезоармирование кожи лица, шеи, декольте и кистей рук для повышения качества кожи;
  • заполнение мелких морщин, в том числе в деликатных зонах;
  • коррекция рубцов постакне методом субцизии;
  • использование в сочетанных протоколах с аппаратными процедурами, особенно в комбинации с методами, сильно истощающими гидрорезерв тканей;
  • применение в комплексной терапии дерматологических патологий (например, у пациентов, находящихся на терапии пероральными ретиноидами).

Клинический случай

25-летняя пациентка обратилась к нам с запросом на коррекцию губ и периоральной зоны, но с сохранением полностью естественного вида. В силу молодости пациентки и ее нежелания менять форму губ и значительно увеличивать их объем было решено использовать мягкий и пластичный модулятор качества кожи вместо обычного филлера и дополнительно визуализировать его интеграцию в ткани и биодеградацию посредством УЗИ (Esaote MyLab Touch).

Схема введения Stylage HydroMax
Рис. 1. Схема введения STYLAGE® HydroMax в область носогубной складки

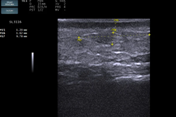
STYLAGE® HydroMax был введен в область губ и периоральной зоны комплектной иглой 30 G в линейно-ретроградной (мезоармирующей) технике. Слой введения — глубокая дерма (Рис. 1). Сразу после введения была выполнена сонограмма в зоне носогубной складки (Рис. 2). На изображении хорошо видны зоны имплантата анэхогенной структуры с ровными краями, овоидной формы, так же заметно, что ткани в этой области сдвинуты по направлению друг от друга и между дермой и мышечным слоем определяется наличие геля. На контрольной сонограмме, сделанной через 4 месяца (Рис. 3), имплант приобретает изоэхогенную структуру, в нем определяются гипоэхогенные включения, что указывает на начало процесса биодеградации и замещение импланта собственными тканями. На сонограмме 3, выполненной через 13 месяцев (Рис. 4), хорошо визуализируется участок локации импланта с границей гиперэхогенной капсулы, внутри которой определяется полное разрешение процесса биодеградации.

Сонограмма дермального имплантата
Рис. 2. Сонограмма дермального имплантата сразу после введения
Сонограмма дермального имплантата
Рис. 3. Сонограмма дермального имплантата через 4 месяца после введения
Сонограмма дермального имплантата
Рис. 4. Сонограмма дермального имплантата через 13 месяцев после введения

Клинически пациентка была удовлетворена результатами коррекции: носогубные складки уменьшились, эффект сохраняется уже на протяжении 1,5 года наблюдения, хотя по данным УЗИ препарат полностью биодеградировал (Рис. 5).

...
Рис. 5. До
...
Рис. 5. После
...
Рис. 5. До
...
Рис. 5. После

Заключение

Ультразвуковая картина демонстрирует, что STYLAGE® HydroMax легко и равномерно интегрируется в ткани и сохраняется в дерме на протяжении минимум 6 месяцев, обеспечивая быстрый, но достаточно длительный эффект. Это наблюдение косвенно подтверждает данные, ранее полученные in vitro: STYLAGE® HydroMax значительно потенцирует синтез коллагена I и XVII типов, что позволяет говорить о сохранении эффективности коррекции даже после полной биодеградации гиалуроновой кислоты, составляющей имплантат. Таким образом, STYLAGE® HydroMax может быть рекомендован с целью длительной гидратации кожи и улучшения ее качества, даже в том случае, если у пациента нет возможности проходить регулярные процедуры или курс биоревитализации.

Источники:

  1. Журавская, С. Ю. Возможности визуализации временных дермальных наполнителей (филлеров) с помощью ультразвуковой визуализации и магнитно- резонансной томографии / С. Ю. Журавская, Н. Б. Поплавская, М. Ю. Семерник // Дерматовенерология. Косметология. — 2023. — Т. 9, № 1. — С. 48-57. — DOI 10.34883/PI.2023.9.1.014.
  2. Бондаренко, И. Н. Новые возможности применения ультразвукового исследования в эстетической медицине: систематический обзор / И. Н. Бондаренко // Кубанский научный медицинский вестник. — 2021. — Т. 28, № 6. — С. 73-89. — DOI 10.25207/1608-6228-2021-28-6-73-89
  3. Boey JJE, Boey JJJ, Chen Z, Cao T, Tan ASM, Ng ZY. Superior Outcomes with Ultrasound-Guided Hyaluronidase for Impending Filler-Induced Facial Skin Necrosis: A Systematic Review and Pilot Meta-Analysis. Aesthetic Plast Surg. 2025 Jul;49(13):3519-3525. doi: 10.1007/s00266-025-04707-0. Epub 2025 Jan 29. PMID: 39881073.
  4. Газитаева, З. И. Эффективность применения инъекционных экзопротекторов для восстановления качества кожи лица. Обзор литературы и клинические наблюдения / З. И. Газитаева, О. В. Забненкова // Медицинский алфавит. — 2025. — № 8. — С. 100-105. — DOI 10.33667/2078-5631-2025-8-100-105
  5. Cavallieri FA, Balassiano LKA, Munhoz G, Tembra MF, Wortsman X. Ultrasound in Aesthetics: Filler and Non-Filler Applications. Semin Ultrasound CT MR. 2024 Jun;45(3):251-263. doi: 10.1053/j.sult.2023.11.005. Epub 2023 Dec 10. PMID: 38072289.
  6. Потемкина М. В., Броницына Н. В. Сочетание препаратов STYLAGE® HydroMax и STYLAGE® Hydro (VIVACY®, Франция) в процедурах биоревитализации //Инъекционные методы в косметологии. — 2017. — №. 2. — С. 120-122.
  7. Glogau RG. Fillers: from the past to the future. Semin Cutan Med Surg. 2012 Jun;31(2):78-87. doi: 10.1016/j.sder.2012.03.004. PMID: 22640427.
  8. Sravan, T., & Spandana, K. (2021). Sorbitol–Its applications in different fields. Agricultural & Food: e-Newsletter, 3, 197-8.
  9. Cherian, P., Bergfeld, W. F., Belsito, D. V., Klaassen, C. D., Liebler, D. C., Marks Jr, J. G., ... & Heldreth, B. (2025). Safety Assessment of Mannitol, Sorbitol, and Xylitol as used in cosmetics. International journal of toxicology, 44(1_suppl), 22S-43S.
  10. Van Metre Jr, T. E., Rosenberg, G. L., Vaswani, S. K., Ziegler, S. R., & Adkinson, N. F. (1996). Pain and dermal reaction caused by injected glycerin in immunotherapy solutions. Journal of allergy and clinical immunology, 97(5), 1033-1039.
  11. Карагадян А.Д. Исследование эффективности и безопасности применения инъекционной формы комплекса стабилизированной и нативной гиалуроновой кислоты и сорбитола для гидратации кожи губ пациентов, принимающих системные ретиноиды. Пластическая хирургия и эстетическая медицина. 2025;3:62–68. https://doi.org/10.17116/plast.hirurgia202503162
  12. Сапон А.М., Гутоп Е.О., Ахмедбаева И.А., Корзун Ю.Л., Румак А.С. Рандомизированое исследование эффективности и безопасности сочетанного применения дермальных имплантатов на основе гиалуроновой кислоты, технологии IPL и неаблятивной лазерной фракционной шлифовки для коррекции возрастных изменений. Клиническая дерматология и венерология. 2025;24(1):88–95. https://doi.org/10.17116/klinderma20252401188
  13. Абрамов Е.А., Агранович А.В., Гутоп Е.О., Калашникова Н.Г., Карпова Е.И., Потемкина М.В., Федоров А.А., Ходова О.О., Юсова Ж.Ю. Комбинированные методы в косметологии: сочетание филлеров и биоревитализантов на основе гиалуроновой кислоты и маннитола с аппаратными и нитевыми методами. Пластическая хирургия и эстетическая медицина. 2025;1:68–78. https://doi.org/10.17116/plast.hirurgia202501168
  14. Marion Albouy, Morgan Dos Santos, Killian Laho, Denis Couchourel, Frederic Tranchepain, poster presented during AMWC 2025

Реклама:

ООО «Виваси Лаборатуар»
Erid: 5jtCeReLm2g13jnxccajqfR

Еще по теме