Микроволны против гипергидроза: клинический опыт

28.03.2019
Статья
8536
5 мин на прочтение
Статья
28.03.2019
8536
5 мин на прочтение
Как за одну процедуру победить повышенное потоотделение? Юлия Чеботарева приводит описание клинического случая и протокол процедуры микроволнового термолиза

Еще недавно пациентам с повышенным потоотделением в области подмышечных впадин врачи-косметологи могли предложить только краткосрочное лечение. Применение новой аппаратной методики открыло новые возможности: теперь для устранения проблемы навсегда достаточно одной процедуры.

Подмышечный гипергидроз – чрезмерное потоотделение в подмышечной области. По данным исследований (Glaser et al. 2012), это состояние наблюдается у 33 % населения. При этом большей части пациентов особый дискомфорт доставляет не само по себе повышенное потоотделение, а сопровождающий его неприятный запах.

Существует два типа потовых желез: эккриновые и апокринные.

Эккриновые железы производят прозрачный, не имеющий запаха пот, предназначенный для терморегуляции. Апокриновые железы выделяют секрет молочной консистенции, который при разложении бактериями создает особый запах тела. Он может восприниматься окружающими как неприятный. Оба типа желез расположены вблизи границы между дермой и подкожно-жировой клетчаткой (ПЖК).

Антиперспиранты и дезодоранты: польза или вред?

Борьбу с гипергидрозом пациенты обычно начинают с покупки специализированных средств гигиены. Однако, согласно последним исследованиям FDA, в большинстве дезодорантов и антиперспирантов в качестве активного ингредиента содержится триклозан. Он действительно уничтожает бактерии, вызывающие неприятный запах, но вместе с ними – и здоровую флору кожи. Триклозан способен проникать в организм через поры и тем самым вызывать нарушение функционирования репродуктивной и эндокринной систем.

Содержащиеся в антиперспирантах соли алюминия и вовсе могут спровоцировать появление раковых клеток и ухудшить состояние костей и зубов.

После публикации этих исследований все больше пациентов стали обращаться за лечением гипергидроза в клиники эстетической медицины (Solish et al. 2005). Однако еще инъекции ботулотоксина и хирургическое вмешательство (симпатэктомия) имеют недостатки. В первом случае невозможно было добиться продолжительного эффекта, во втором – приходилось сталкиваться с возможными побочными эффектами.

лечение гипергидроза на аппарате MiraDry

Микроволновая энергия как источник теплового воздействия

Применение микроволновой энергии в лечении пациентов началось еще в 1946 году. Однако до сих пор эти методики менее знакомы медицинскому сообществу, чем лазерные, радиочастотные и ультразвуковые.

Под микроволнами подразумевается электромагнитное излучение с частотой от 300 МГц до 300 ГГц. Этот частотный диапазон передает энергию в ткани через поглощаемое излучение, вызывающее диэлектрический нагрев. На молекулярном уровне он представляет собой быстро меняющееся электрическое поле, индуцированное микроволновым излучением; это поле воздействует на дипольные моменты в молекулах воды, присутствующие в ткани. Молекулы возбуждаются микроволновым полем, что приводит к нагреву тканей и возникновению разницы в диэлектрических свойствах между кожной и жировой тканью. На границе между ними генерируется большое количество отраженной энергии. Она возвращается обратно к излучателю, что создает оптимальную интерференционную картину с исходным излучением. Результатом является интерференция, то есть суммирование интенсивности электромагнитных волн в зоне перехода кожи (дермы) в ПЖК, и разрушающая интерференция вблизи эпидермального слоя (рис. 1).

Как это работает на примере устройства MiraDry (США)

лечение гипергидроза на аппарате MiraDry

Рис.1(a). Микроволны проходят через эпидермальный и дермальный слой.

лечение гипергидроза на аппарате MiraDry

Рис.1(b). На границе кожи и ПЖК происходит значительное отражение излучения, что приводит к интерференции волн в дерме вблизи границы раздела.

лечение гипергидроза на аппарате MiraDry

Рис.1(c). Система охлаждения защищает эпидермальный / верхний дермальный слой, но позволяет теплу проходить из области поглощения микроволн в целевую зону.

Опыт клинического применения микроволнового термолиза потовых желез для лечения гипергидроза

В клинике «ЭСТЕЛАБ» мы используем систему «Мирадрай» (MiraDry, США), разработанную специально для лечения подмышечного гипергидроза.

Диагностика

Перед процедурой проводилась оценка интенсивности потоотделения по 4-балльной шкале HDSS путем анкетирования пациента. Весовую оценку использовали в качестве вторичной.

Для визуализации проблемной области использовался крахмал-йодный тест, проба Минора (рис. 2).

Тест Минора до процедуры

Рис.2(a). Тест Минора до процедуры.

Тест Минора после процедуры

Рис.2(b). Тест Минора после процедуры.

Учитывались абсолютные противопоказания: ношение кардиостимулятора, использование кислорода в баллонах.

Проведение процедуры

Процедура включает в себя три этапа (рис. 3):

лечение гипергидроза на аппарате MiraDry

Рис.3(a). Местная анестезия (1 % лидокаин с 1:100 000 адреналина по всей площади зоны лечения; дозировка анестезии – на рис. 4).

лечение гипергидроза на аппарате MiraDry

Рис.3(b). Разметка зоны воздействия.

лечение гипергидроза на аппарате MiraDry

Рис.3(c). Микроволновая обработка подмышечной области по разметке.

лечение гипергидроза на аппарате MiraDry

Рис.4. Дозировки анестезии в подмышечной области.

Результат

Удовлетворенность пациентов достигла более 90 %, что подтверждает мировую статистику эффективности MiraDry (рис. 5; Real Self «Worth It» ratings 2018). Также учитывали долю пациентов, у которых после лечения исчезал запах в подмышечной области, ощущаемый до лечения.

лечение гипергидроза на аппарате MiraDry

Рис.5. Удовлетворенность результатами процедуры.
По: Real Self «Worth It» ratings 2018.

MiraDry
MiraDry®

Miradry ® - инновационная нехирургическая технология удаления запаха, избыточного потоотделения и волос в подмышечных впадинах. Результат мгновенный, сразу после проведения процедуры.

Эффект от процедуры длится всю жизнь, это связано с тем, что онтогенез потовых желез проходит только в эмбриональном периоде, так что они не регенерируют после рождения (рис. 6; Hai-Hong Li et al. 2006).

После процедуры наблюдались краткосрочные побочные эффекты: отек после лечения (рис. 7), эритема и дискомфорт. Они были незначительными и не требовали дополнительного лечения. У некоторых пациентов наблюдались более длительные побочные эффекты, такие как временное изменение чувствительности.

лечение гипергидроза на аппарате MiraDry

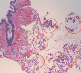
Рис.6(a). Данные гистологии. Эккриновые и апокриновые железы до процедуры.

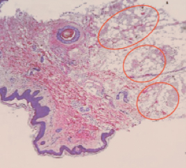
лечение гипергидроза на аппарате MiraDry

Рис.6(b). Данные гистологии. Завершенные некроз желез спустя 10 дней после процедуры.

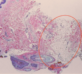
лечение гипергидроза на аппарате MiraDry

Рис.6(c). Данные гистологии. Отсутствие потовых желез через 6 месяцев после первой процедуры.

лечение гипергидроза на аппарате MiraDry

Рис.7. Отек сразу после процедуры.

Таким образом, наши клинические наблюдения подтверждают эффективность и безопасность применения этого терапевтического метода для лечения пациентов с проблемой повышенного потоотделения в подмышечной области.

Источники:

  1. Glaser D. A., Coleman W. P. Fan L. K. et al. A randomized, blinded clinical evaluation of a novel microwave device for treating axillary hyperhidrosis: the dermatologic reduction in underarm perspiration study // Dermatol Surg. 2012; 38: 185–191.
  2. Hong H. C., Lupin M., O’Shaughnessy K. F. Clinical evaluation of a microwave device for treating axillary hyperhidrosis // Dermatol Surg. 2012; 38: 728–735.
  3. Johnson J., O’Shaughnessy K., Kim S. Microwave thermolysis of sweat glands // Lasers in Surgery and Medicine. 2012; 44: 20–25.
  4. Solish N., Benohanian A., Kowalski J. W. Рrospective open-label study of botulinum toxin type A in patients with axillary hyperhidrosis: effects on functional impairment and quality of life // Dermatol Surg. 2005; 31: 405–13.
  5. Real Self «Worth It» ratings over all time for MiraDry, Botox, CoolSculpting, Ultherapy and IPL. Sourced January 16, 2018.
  6. Hai-Hong Li, Gang Zhou, Xiao-Bing Fu et al. Antigen expression of human eccrine sweat glands // J Cutaneous Pathology. 2006; 36 (3): 318–324.

Еще по теме

Доказано, что циркадные ритмы влияют на метаболизм коллагена
Новость
Доказано, что циркадные ритмы влияют на метаболизм коллагена
коллаген
космецевтика
наружные препараты
Новая схема ботулинотерапии шеи: меньше расход, тот же результат
Новость
Новая схема ботулинотерапии шеи: меньше расход, тот же результат
инъекции
ботулотоксин
шея и декольте
«Оземпик-фейс» стали гуглить в 46 раз чаще
Новость
«Оземпик-фейс» стали гуглить в 46 раз чаще
тренды
похудение
пластическая хирургия
От эстетики к терапии: расширенные показания лазерной эпиляции
Нативная статья
От эстетики к терапии: расширенные показания лазерной эпиляции
аппараты
лазеры
эпиляция