Лечим пигментацию пикосекундным лазером

28.04.2017
Статья
15292
12 мин на прочтение
Статья
28.04.2017
15292
12 мин на прочтение
В эстетической медицине произошла сенсация. Произошла она так тихо, что многие врачи остались в неведении, а вслед за ними и многие пациенты.

О том, что произошло Событие, можно было услышать лишь от избранных специалистов, имеющих международные связи и возможность коммуникации. В немногочисленных статьях о новинке писали так сухо и скромно, что стоило задаться вопросом – так что же произошло?

А сенсация в том, что в России появилась принципиально новая технология –лазер PicoSure, работающий с пикосекундными импульсами.

Вы часто спрашиваете нас, что мы знаем о пикосекундных лазерах. Нам стыдно в этом признаться: мы давно являемся лидерами в веб-индустрии эстетической медицины, но о пикосекундных лазерах мы слышали то же, что и вы. Но мы знаем людей, профессионалов в эстетической медицине, которые «съели пуд соли», открывая для себя, России и всего мира возможности пикосекундных технологий.

Быть первооткрывателем почетно и сложно одновременно. Знакомьтесь – Саломея Абальян, главный врач, врач высшей категории!

Сертифицированный тренер по аппаратной косметологии Ulthera System и PicoSure, челюстно-лицевой хирург, врач-косметолог, врач-дерматолог. Тренер по аппаратной косметологии (Альтера/ULTHERA System), решившийся купить пикосекундный лазер в России и научившийся получать с ним результаты, на которые смотрит весь эстетический мир.

Давайте разбираться в понятиях.

Что такое пикосекундные технологии?

В основе лазера лежит впервые в мире примененная технология без повреждения эпидермиса, с ультракороткой реабилитацией и без последующего обезвоживания кожи, без посттравматической пигментации, которая очень быстро и четко воздействует на пигмент разной этиологии.

Результат достигается значительно быстрее по сравнению с фракционными методиками предыдущих поколений.

Ультракороткие импульсы энергии, длящиеся буквально триллионные доли секунды, делают все процедуры по удалению пигмента любой этиологии одновременно более эффективными и менее травматичными. Лазеры-предшественники работают в основном за счет фототермического эффекта и теплового воздействия на пигмент и окружающие ткани. С предшествующей технологией часто приходилось искать компромисс – между неполным удалением и риском возникновения рубцов.

В основе работы PicoSure используется технология Pressure Wave (ударная волна), которая посылает ультракороткий импульс, выходящий за рамки простого фототермического эффекта, и создает интенсивное фотомеханическое воздействие. Это позволяет без прогрева разрушить пигмент до мельчайших частиц, которые с легкостью выводятся из тканей.

Возможности лазерной системы PicoSure

  • омоложение кожи на любых участках;
  • устранение пигментации, рубцов постакне, расширенных пор, растяжек, хирургических и посттравматических рубцов;
  • удаление татуировок и татуажа любого цвета, без риска образования рубцов.

Как действует лазер?

PicoSure

Длина волны 755нм запускает процессы реструктуризации кожи за счет нового типа воздействия на клетки. Фракционное излучение обеспечивает цепь передачи информации между клетками и делает кожу сияющей, здоровой и молодой практически без периода реабилитации.

PicoSure называют «холодным лазером». Мощная световая энергия проникает в клетки-мишени за несколько триллионных доли секунды. В результате запускается процесс интенсивного омоложения, а эпидермис не успевает подвергнуться тепловому воздействию и не травмируется.

Как это происходит?

  1. Оптический массив линз FOCUS™ обеспечивает 20-кратное увеличение плотности энергии в микролуче в сравнении с обычным пикосекундным импульсом и активирует процессы клеточной передачи информации – цитокиновую эстафету.
  2. Воздействие FOCUS™ формирует в эпидермисе зоны «лазер-индуцированного оптического распада» (LIOB). Ударная фотомеханическая волна значительно усиливает пропогацию цитокина в дерму, но без ее термического повреждения, характерного для фракционного воздействия прошлого поколения.
  3. «Цитокиновая эстафета» запускает мощную реакцию в дермальном слое, которая активирует процессы неоколлагенеза и факторы роста и приводит к обновлению кожи. Такой способ доставки цитокина в дерму значительно сокращает период реабилитации, одновременно увеличивая эффективность процедуры.

Пикосекундное воздействие активизирует цитокины в невиданных ранее масштабах. Запускаются все ресурсы внутренней регенерации организма. Цитокины – белки-пептиды активированных клеток иммунной системы, обеспечивающие межклеточные взаимодействия. К цитокинам относятся интерфероны (ИНФ), интерлейкины (ИЛ), хемокины, колониестимулирующие факторы (КСФ), факторы роста. Цитокины действуют по эстафетному принципу: воздействие цитокина на клетку вызывает образование ею других цитокинов (цитокиновую эстафету).

Как запускается «клеточный сигнал»?

  1. Световая энергия воздействует на клетку в течение нескольких триллионных долей секунды.
  2. Клетка-мишень накапливает большое количество фотонов, переходящих в состояние плазмы.
  3. В местах воздействия образуются микроскопические полости – вакуоли. Одновременно сформировавшийся плазменный барьер защищает дермальный слой от травмирования, характерного для классического лазерного воздействия.
  4. Фотодинамическая ударная волна в десятки раз усиливает цитокиновый каскад, провоцирующий выработку большого количества коллагена и эластина организмом.
  5. Пикосекундное воздействие активизирует цитокины в невиданных ранее масштабах. Запускаются все ресурсы внутренней регенерации организма.

Технические характеристики

Длина волны Длительность импульса Энергия импульса Размер пятна Параметры сети
изменяемый фиксированные
755 нм (532 нм и 1064 нм – опции) 550-750 псек 165–200 мДж 2.0 – 6.0 мм, шаг 0.1 мм 6.0, 8.0 и 10.00 мм 200/240 V, 4,5 kVA, 50/60 Hz, одна фаза, 30A

Лазер PicoSure c фракционным наконечником FOCUS показывает значительное уменьшение пигментной дисхромии, общего уровня проявлений фотостарения и эритемы и увеличивает сияние кожи. Видимые результаты достигаются уже после первой процедуры.

Безопасность

Исследование:
Оценка безопасности и эффективности пико-импульсного александритового лазера для процедуры удаления проявлений солнечного лентиго на тыльной стороне ладони.
Результат:
Пико-импульсный александритовый лазер может безопасно и эффективно устранять пигментацию на тыльной стороне ладони за 1-2 процедуры без побочных эффектов.

Raminder Saluja, MD

...
До процедуры
...
Через три месяца после 2-й процедуры
...
До процедуры
...
Через три месяца после 2-й процедуры

Гистология

Исследование:
Клиническое гистологическое исследование кожи после воздействия пикосекундным александритовым лазерером, сплошным и фракционным методом
Результат:
Значительная абсорбция лазерного излучения меланином приводит к повреждениям меланин-содержащих эпидермальных клеток. Степень повреждений предположительно зависит от дозы излучения и уровня меланина, который связан с фототипом, загаром и меланиновым индексом (MI). Доставка излучения через фракционный оптический массив селективно повреждает локальные зоны эпидермиса, при этом имеет хороший профиль безопасности и эффективности.

Emil A. Tanghetti, MD

...
Через 10 минут: показаны вакуоли (полости) в эпидермисе, где произошла реакция лазер-индуцированного оптического разрушения после воздействия массивом FOCUS
...
Через 24 часа: протравливание меланина указывает на сфокусированные повреждения меланин-содержащих клеток, поражения ограничены эпидермальным слоем. Термических повреждений дермы не выявлено
...
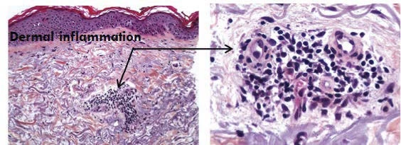
Через 24 часа: стандартное H&E протравливание указывает на воспалительную реакцию дермального слоя, провоцирующую образование нового коллагена и эластина

Жизненный опыт. Как работать с технологией в реальной практике

У меня было несколько интересных пациенток с проблемой пигментации разной этиологии, которые получили отличный результат после нескольких сеансов на Picosure

Клинический случай 1

...

Диагноз: Посттравматическая пигментация

Анамнез: У пациентки посттравматическая пигментация, которую она неоднократно удаляла.

Предыдущие назначения: гидрохинон, лазер и Система IPL – все мало эффективно. Направлена ко мне предыдущим лечащим врачом.

Дата начала лечения: 28 января 2017 года.

Назначение: Я сделала ей процедуру на PicoSure(насадка FOCUS), пигмент посветлел, разбился на участки. Пятна были достаточно объемные, особенно на лице, преимущественно в области лба. К шестой неделе пигмент посветлел очагами, не тотально. Через месяц была проведена повторная процедура, остались легкие следы пигментации. Мы продолжаем план лечения. Имея возможность сравнивать с другими аппаратами, направленными на коррекцию дисхромий, скажу, что скорость появления терапевтических результатов меня восхищает. В этом принципиальное отличие пикосекундных технологий от предшественников.

...
До начала лечения
...
Сразу после процедуры
...
После трех процедур

Клинический случай 2

...

Диагноз: Пигментация после беременности

Анамнез: Пациентка обратилась также с пигментацией. Она самая сложная, имеет третий фототип. Пигментация образовалась на шестом месяце беременности, после родов состояние ухудшилось. Пациентка прошла курс пилингов, который не улучшил ситуацию.

Дата начала лечения: 28 января 2017 года.

Назначение: Я провела пока 2 процедуры, через 3-4 недели будет еще одна с увеличением количества импульсов. При первом знакомстве с лицом я обычно использую 6 тыс. импульсов, впоследствии можно будет увеличить до 10 тыс. Потребуется минимум пять процедур, пигмент будет постепенно темнеть, возможно появление легкого ощущения сухости. На вторые-третьи сутки начинает разбиваться на островки и далее к шестой неделе будет постепенно выводится. Сразу после воздействия лазером на кожные покровы отмечается краснота, которая, как правило, сохраняется несколько часов. Я планирую сначала работать сфокусированно на пигменте, а затем, растушевкой по всему лицу, таким образом проведу омоложение. В завершении курса пациентка увидит уменьшение (отсутствие) пигментации, сужение пор, улучшение качества кожи. Как долго будет сохраняться ремиссия, сказать сложно, так как в данном случае мы имеем дело с гормонозависимой пигментацией, надо искать причину. 

...
До начала лечения
...
Сразу после процедуры
...
После трех процедур

Клинический случай 3

...

Диагноз: Невус ото.

Анамнез: Пациентка обратилась с пигментацией в области орбиты слева. Ранее лечение не проводилось.

Дата начала лечения: 22 декабря 2016 года.

Назначение: я провела три процедуры на пикосекундном лазере PicoSure. В процессе лечения использовался прямой луч с диаметром пятна 3 мм (2.83 j/cm2). Перерывы между процедурами составляли 6 недель. После процедуры отмечался незначительный отек в области нижнего века, а также потемнение пигментации. После первой процедуры на третьей неделе заметен результат. В последующем проведены ещё две процедуры с использованием прямого луча диаметром пятна 2,8 мм (4.07 j/cm2).

...
До начала лечения
...
После трех процедур

Особые назначения

Особых ограничений после процедуры нет, конечно, лучше избегать нахождения на солнце (если солнца избежать невозможно, нужно использовать крем с солнцезащитным фактором), не рекомендую прибегать к пилингам, скрабам и активным тепловым процедурам в течение двух недель после проведенной процедуры.

Противопоказания

  • злокачественные образования, а также доброкачественные образования в зависимости от их состояния;
  • гемофилия, анемия, лейкоз, лейкопения и другие заболевания крови;
  • хронические и вирусные заболевания в стадии обострения;
  • беременность и период лактации;
  • заболевания внутренних органов.

Все противопоказания определяет врач на первом приеме. Часть из них является абсолютными, но в некоторых случаях проведение процедуры все же возможно.

Особые замечания, или Блиц с доктором под девизом «Сложно, но можно»

  • Аппарат отлично справляется с мелазмой, дает длительную ремиссию, но есть категория пациентов, у которых все проходит не так гладко, через 2 месяца проблема может вернуться. Если такое происходит, то начинать надо с сотрудничества с дерматологами и эндокринологами, но есть нечувствительные  пациенты (около 5%).
  • Конечно, гарантировать, что пигментация не вернется, невозможно. Скорее всего, она уйдет, будет более длительная ремиссия.
  • Во время процедуры происходит омоложение, насадка Focus прорабатывает все лицо, что дает эффект «кожный лифтинг» (удаление мелких морщин, сужение пор и в целом улучшение качества кожи).
  • К сложным пациентам могу отнести тех, у которых близко расположены сосуды и очень чувствительная кожа. У таких пациентов возможна более длительная реабилитация, т.е. гиперемия и сухость кожи могут сохраняться в течение суток.
  • В силу того, что импульс у PicoSure ультракороткий, он не работает с сосудами и не удаляет волос.
  • Минус у PicoSure только один – высокая стоимость процедуры, но выраженность результата того стоит.
  • Быстрота. Обработка всего лица занимает до 20 минут, анестезия не требуется.

Современные активно работающие люди все чаще отказываются от процедур, требующих длительной реабилитации, так как не могут себе позволить связанную с этим потерю времени. Именно для таких социально активных людей Picosure - идеальный выбор, так как сочетает быстроту проведения процедуры, высокую эффективность и отсутствие активной реабилитации!

Вместо выводов

Мы с удовольствием продолжим наблюдать триумфальное шествие новых технологий. Космос рядом.

Еще по теме

Emface + Exion: возможности синергии
Протокол
Emface + Exion: возможности синергии
аппараты
нижняя треть
микроигольчатый рф-лифтинг
Экзосомы на российском рынке: 5 популярных продуктов
Подборка
Экзосомы на российском рынке: 5 популярных продуктов
экзосомы
наружные препараты
Полимолочная кислота — новый тренд или старый трюк?
Продуктовая статья
Полимолочная кислота — новый тренд или старый трюк?
полимолочная кислота
осложнения
наружные препараты