SMAS-лифтинг Doublo: составление индивидуального протокола процедуры у сложных категорий пациентов

23.03.2021
Статья
22098
13 мин на прочтение
Статья
23.03.2021
22098
13 мин на прочтение
Количество запросов в «Яндекс» только по слову СМАС достигло 100 000 показов в месяц. Пациенты интересуются данной методикой, а аппарат Doublo HIFU занял важное место в арсенале врача-косметолога
Вадим Чариков

Аппарат для ультразвукового SMAS-лифтинга Doublo HIFU сочетает в себе высокую энергию рабочих манипул – до 2 ДЖ/см2 (энергию можно регулировать, подбирая индивидуальные параметры под каждого пациента) и ультразвуковую диагностику высокого разрешения – для составления эффективного и безопасного протокола процедуры. Это выгодно выделяет аппарат на рынке HIFU SMAS-лифтинга и позволяет достигать хороших результатов даже у сложных категорий пациентов.

Всех пациентов можно разделить на две категории: оптимальные и неоптимальные.

Оптимальные пациенты дают выраженный клинический ответ без комбинирования с другими методами при проведении монопроцедуры HIFU SMAS-лифтинга.

Оптимальный пациент

Для оптимального пациента характерны следующие особенности:

  • Нормальный/незначительно сниженный тонус кожи
  • Умеренные признаки деформационного (гравитационного) / усталого типа старения
  • Незначительная или умеренная степень фотостарения
  • Большое количество соединительной ткани в подкожно-жировой клетчатке и SMAS

Ключевым фактором в определении оптимального пациента является проведение ультразвуковой диагностики кожи высокого разрешения, так как она позволяет выделить пациентов с большим содержанием соединительной ткани в подкожно-жировой клетчатке и на СМАС-слое (здесь и далее все ультразвуковые сканограммы сделаны на аппарате Doublo).

Рис. 1. На снимке отмечается большое количество соединительнотканных септ и трабекул в подкожно-жировой клетчатке, а также выражена фасция, покрывающая СМАС-слой.

Так как мишенями для проведения HIFU SMAS-лифтинга является именно соединительная ткань в подкожно-жировой клетчатке и на SMAS, их высокое содержание обеспечивает яркую выраженность результатов (рис. 1). При проведении HIFU SMAS-лифтинга создаются точки коагуляции в области соединительной ткани, что приводит к сокращению ее площади, укреплению и запуску процессов лифтинга. Проводя ультразвуковую диагностику кожи высокого разрешения, специалист всегда выявляет пациентов с большим количеством соединительной ткани и может с уверенностью назначать им монопроцедуру без подключения дополнительных методов в курсе лечения.

Методика ультразвуковых нитей

Методика ультразвуковых нитей – это метод, который подходит оптимальным пациентам с высоким уровнем соединительной ткани и сохранным тонусом тканей. Преимущества протокола: стойкий результат, выраженный эффект, а также меньшее количество линий (на 30–40 % по сравнению с классическим протоколом равномерной проработки).

Для примера: если в стандартном протоколе Doublo на среднюю и нижнюю треть может уходить до 150–200 линий, то в методике ультразвуковых нитей на ту же область будет использовано 80–120 линий (в зависимости от морфотипа старения пациента и строения тканей).

Клинический случай 1

Пациентка, 58 лет.

Противопоказаний не выявлено. За косметологической помощью ранее не обращалась, медицинских процедур не выполнялось. При осмотре: деформационный тип старения. Тонус тканей снижен незначительно.

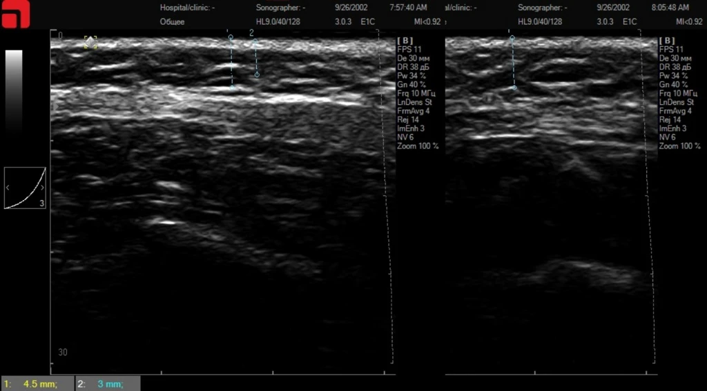
Рис. 2. На сканограмме определяется выраженная соединительная ткань в области подкожно-жировой клетчатки (начинается на глубине от 3 мм), четко дифференцируется соединительная ткань, покрывающая СМАС-слой (глубина 4,6 мм). Противопоказаний к зоне проведения процедуры не выявлено. Основными рабочими датчиками для получения лифтинга будут D4 – 4,5 мм и M7 – 3 мм на аппарате Doublo.

На первом этапе проводится сбор анамнеза, выявление показаний и противопоказаний к процедуре, а также осмотр и пальпация тканей пациента.

На втором этапе – ультразвуковая диагностика высокого разрешения на аппарате Doublo HIFU. Необходимо просканировать все области, где будет проводиться лечение, определить глубину залегания костных структур, глубоких жировых пакетов, SMAS, подкожно-жировой клетчатки, толщину кожи. Выявить глубину расположения соединительной ткани для подбора датчиков. Также пациента необходимо изучить на предмет возможных противопоказаний к зоне проведения процедуры.

На третьем этапе выполняется разметка на коже пациента. Отмечаются все зоны «табу», на которые во время процедуры нельзя заходить.

Скуловая дуга выделяется прямоугольником (в ней проработка будет идти стандартно, линия за линией, так как в противном случае в этой области будут множественные наложения точек коагуляции при схождении ультразвуковых нитей), направление самих линий HIFU будет зависеть от зоны максимального провисания. Далее расчерчиваются направляющие линии в косо-нисходящем направлении. После этого на каждой направляющей отмечаются отрезки, совпадающие с длиной самой линии 25 мм (для этого можно использовать датчик, так как на нем нанесена стандартная длина линии 25 мм). Так как процедура будет проводиться в два слоя, на разметке наносятся направляющие для первого слоя, а нанесение линий второго слоя будет осуществляться в промежутках.

...
...

Рис. 3. Разметка на коже пациента перед проведением SMAS-лифтинга Doublo HIFU.

На четвертом этапе проводится непосредственно процедура по разметке, нанесенной ранее, с соблюдением техники безопасности и всех правил работы на аппарате.

Фотографирование результата у данной пациентки проводилось через 1,5 года после самой процедуры, при подготовке материала для статьи. Эффект развивался в течение 4-х месяцев после процедуры и сохранялся стойкий результат. Пациенту не проводилось других процедур, дополнительно был нормализован домашний уход за кожей.

...
...
...

Рис. 4. Результаты до и после процедуры SMAS-лифтинга Doublo HIFU

Неоптимальный пациент

Разумеется, встречаются пациенты, у которых ожидаемые результаты могут быть снижены. Для таких пациентов могут потребоваться дополнительные методы в курсе лечения для достижения выраженных результатов.

Причины снижения эффективности:

  • Дисплазия соединительной ткани и ее субклинические формы
  • Значительное снижение количества соединительной ткани в подкожно-жировой клетчатке и на SMAS
  • Чрезмерное развитие подкожно-жировой клетчатки – требуется адипоцитолитический протокол и курсовое лечение
  • Выраженная обезвоженность тканей пациента – необходим курс биоревитализации
  • Дефицит витаминов и микроэлементов в организме пациентов
  • Чрезмерно выраженный птоз тканей – показания для проведения пластической операции
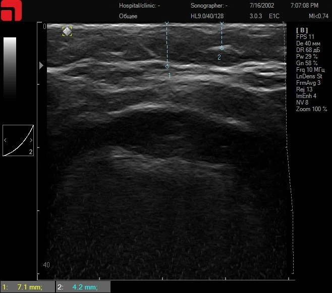
Рис. 5. На сканограмме отмечаются слабовыраженные трабекулы и септы подкожно-жировой клетчатки – меньше «мишеней» для HIFU SMAS-лифтинга.

В клинической практике часто встречаются пациенты с субклиническими формами дисплазии соединительной ткани и сопутствующим данному состоянию снижением количества соединительной ткани в подкожно-жировой клетчатке и на SMAS.

Проведение ультразвуковой диагностики высокого разрешения позволяет выявлять таких пациентов и подходить к ним с комплексным лечением для получения оптимальных результатов. Можно использовать комбинированный протокол – коллагенстимулирующие процедуры с последующим аппаратным SMAS-лифтингом Doublo.

Клинический случай 2

Пациентка, 40 лет.

Из анамнеза: в 2018 году проводилась процедура нитевого лифтинга. Моментальный эффект был хорошим, но сохранялся непродолжительное время – 2 недели. Противопоказаний не выявлено, практически здорова. Усталый тип старения, птоз тканей незначительный, но доставляет большой дискомфорт пациентке. На этапе ультразвуковой диагностики выявлено резкое снижение количества соединительной ткани на уровне подкожно-жировой клетчатки и SMAS.

Принято решение проводить курс лечения в два этапа. На первом этапе процедура коллагенстимуляции препаратом полимолочной кислоты, после периода биодеградации – процедура SMAS-лифтинга.

...
Рис. 6. Сканограмма до процедуры коллагенстимуляции, отмечается резко сниженное количество соединительной ткани в подкожно-жировой клетчатке и на SMAS.
...
Рис. 7. Сканограммы через 6 месяцев после процедуры коллагенстимуляции. Отмечается уплотнение кожи, соединительной ткани в подкожно-жировой клетчатке.

На первом этапе курса лечения проводится коллагенстимулирующая процедура: препараты полимолочной кислоты, гидроксиапатита, армирующие нити.

На втором этапе – процедура SMAS-лифтинга в классическом протоколе методом равномерной проработки.

Перед вторым этапом пациентка отметила значительное улучшение состояния кожи: повышение плотности, разглаживание текстуры, уплощение морщин, выравнивание цвета лица.

Для усиления лифтинг-эффекта был проведен второй этап – аппаратный SMAS-лифтинг Doublo в области средней и нижней трети лица. Использовался классический протокол равномерной проработки.

...
...

Рис. 8. Результаты до и через 2 месяца после процедуры аппаратного SMAS-лифтинга.

Интересные клинические случаи экспертов по ультразвуковому SMAS-лифтингу Doublo HIFU

...

Ирина Алексеевна Баранова

Кандидат медицинских наук, врач-дерматовенеролог, врач-косметолог.

Сеть клиник актуальной медицины LE BAR CLINIC, Новороссийск.

Клинический случай 3

Пациентка, 49 лет.

Жалобы на опущение тканей лица, резкое снижение тонуса и тургора, ухудшение общего внешнего вида. Пациентка в перименопаузе, анамнез без специфических особенностей. Ранее проводилась ботулинотерапия, биоревитализация.

Противопоказаний к проведению процедуры аппаратного SMAS-лифтинга не выявлено.

Была выполнена процедура омоложения высокоинтенсивным сфокусированным ультразвуком Doublo HIFU (рис. 9).

Зоны воздействия: лицо, шея, декольте.

Картриджи: D4 (4,5 мм), М7 (3 мм), D7 (1,5 мм). Стандартный протокол равномерной проработки был усилен дополнительными перекрестными линиями в области маляров, неподвижного верхнего века и брови, «колец Венеры».

Общее количество линий на лицо, шею и декольте: 500.

В реабилитационном периоде пациентка получала витамин С, препараты органического кремния, витамин D для стимуляции синтеза и сборки коллагена.

...
...
...

Рис. 9. Результаты до и после применения высокоинтенсивного сфокусированного ультразвука Doublo HIFU.

Вывод эксперта:

В сети Le Bar Clinic мы используем аппараты линейки Doublo HIFU с 2018 года. Отмечаю высокую эффективность, высокую удовлетворенность пациентов, хорошую переносимость процедуры. Для меня немаловажным фактором является возвращаемость пациентов на процедуру. Замечу, что на Doublo она очень высока! Мы настроены на долгосрочное сотрудничество с нашими пациентами, заинтересованы в пролонгированном результате и тщательно подходим к выбору и приобретению оборудования. По поводу Doublo HIFU жалею только об одном – что не купила его раньше!

...

Рахат Джумаева

Врач-дерматовенеролог, врач-косметолог.

Медицинская клиника Melissa, Санкт-Петербург.

Клинический случай 4

Пациентка, 43 года.

Из анамнеза: проводилась процедура нитевого лифтинга и ботулинотерапия более года назад. Противопоказаний не выявлено, практически здорова. Усталый тип старения. При проведении ультразвукового сканирования высокого разрешения Doublo HIFU было выявлено умеренное количество соединительной ткани в подкожно-жировой клетчатке и на SMAS-слое. Проведена процедура SMAS-лифтинга в классическом протоколе равномерной проработки с использованием трех датчиков: D4 – 4,5 мм, M7 – 3 мм, D7 – 1,5 мм, с контрольным осмотром через 3 месяца (рис. 10).

...
...
...

Рис. 10. Результат до и после применения высокоинтенсивного сфокусированного ультразвука Doublo HIFU.

Вывод эксперта:

Процедуры на аппарате Doublo HIFU проводим в клинике с 2017 года. С его появлением значительно уменьшилась необходимость в нитевом лифтинге, а у сложных категорий пациентов процедуры можно комбинировать с получением еще более выраженных результатов и стойким эффектом от самих нитей. Очень нравится сочетать методику в курсовом лечении пациентов с ботулинотерапией тяжей платизмы – получаем идеальные контуры овала.

...

Екатерина Андреевна Назарова

Врач-дерматовенеролог, врач-косметолог.

Эстетический центр «Веста», Архангельск.

Клинический случай 5

Пациентка, 34 года.

Противопоказаний к проведению процедуры не выявлено. Жалобы на опущение бровей, «тяжелое» верхнее веко. Процедура выполнялась в технике «якорных точек» (рис. 11).

«Якорная» точка – пересечение среднезрачковой линии и передней границы волосистой части головы. К этой точке идут три ряда линий с использованием датчиков: D7 – 1,5 мм и M7 – 3 мм (там, где позволяла глубина по результатам ультразвуковой диагностики кожи, с учетом техники безопасности):

1-й ряд – от головки брови к «якорной» точке;
2-й ряд – от середины брови к «якорной» точке;
3-й ряд – от хвоста брови к «якорной» точке.

Дополнительно под бровью, в области неподвижного века, нанесены дополнительные линии на картридже D7 – 1,5 мм.

...
...

Рис. 11. Результат до и после применения высокоинтенсивного сфокусированного ультразвука Doublo HIFU.

Вывод эксперта:

За несколько лет практики я пришла к выводу, что процедура ультразвукового SMAS-лифтинга Doublo HIFU практически не имеет недостатков. За одну процедуру происходит и полноценная ультразвуковая диагностика, и устранение проблемы. Для меня и моих пациентов ультразвуковой лифтинг Doublo – незаменимый метод для омоложения и устранения возрастных проблем. Возможность выбирать глубину воздействия и обеспечивать многоуровневый лифтинг. Высокая эффективность, отсутствие реабилитации, безопасность, всесезонность, возможность сочетания лифтинга с другими методиками по омоложению – это несомненные плюсы процедуры. Великолепные результаты и восторженные отзывы пациентов укрепляют мою любовь к данной методике.

...

Айгуль Ришатовна Ибатуллина

Кандидат медицинских наук, врач-дерматовенеролог, врач-косметолог.

Клиника диагностики здоровья и современной косметологии Heliocity, Уфа.

Клинический случай 6

Пациентка, 41 год.

Соматически здорова, имеет стабильный вес в течение всего периода наблюдения. Жалобы на углубление носогубных складок, появление «брылей». Усталый морфотип старения с избытком жировых пакетов в средне-щечной зоне и области «брылей». До момента процедуры на аппарате Doublo кроме уходов за лицом ничего не делала (рис. 12).

Благодаря ультразвуковому исследованию кожи высокого разрешения была определена глубина залегания связочного аппарата и жировых пакетов в средней и нижней третях лица, составлен протокол процедуры.

Общее количество линий: 200.

Процедура проводилась по классической схеме равномерной проработки картриджами D4 – 4,5 мм и M7 – 3 мм, с дополнительным укреплением усиливающими векторами от проблемных зон к удерживающим связкам.

...
...

Рис. 12. Результат до и спустя 8 месяцев после применения высокоинтенсивного сфокусированного ультразвука Doublo HIFU.

Вывод эксперта:

С ультразвукового HIFU SMAS-лифтинга Doublo прекрасно начинать любой курс лечения пациентов. Лифтинг при работе со связочным аппаратом проявляется наиболее быстро, более того, на пациентах с тяжелыми морфотипами процедуру можно повторить локально по связочному аппарату через 6 месяцев для усиления лифтинг-эффекта. Эффект «усадки» тканей может развиваться до 6 месяцев после процедуры! Все это обеспечивает комплексный и выраженный эффект от процедуры, за что мы ее очень ценим в клинике Heliocity.

...

Суна Рагимовна Казиханова

Кандидат медицинских наук, главный врач клиники, врач-дерматовенеролог, врач-косметолог.

Клиника эстетической медицины «Ренессанс», Санкт-Петербург.

Клинический случай 7 (комплексный подход)

Аппаратный SMAS-лифтинг Doublo благодаря вариативности манипул и детализированному ультразвуковому сканированию позволяет составить индивидуальный протокол под каждого пациента. Я активно использую его в комплексной антивозрастной терапии. Курс лечения начинается именно со SMAS-лифтинга мягких тканей лица, век. Активно сочетаю его с ботулинотерапией, фототерапией и биореомодуляцией (рис. 13).

Данная методика хорошо себя зарекомендовала в комбинированных протоколах лица, век, коррекции локальных проблем на теле (в том числе задней и внутренней поверхности бедер).

...
...
...
...
...
...

Рис. 13. Результаты до и спустя 8 месяцев после применения высокоинтенсивного сфокусированного ультразвука Doublo HIFU.

Выводы

Ультразвуковая диагностика высокого разрешения Doublo (SMAS-лифтинг Doublo) – важнейший инструмент не только при разработке индивидуального протокола процедуры, но и главный помощник в составлении курса лечения у сложных категорий пациентов. Высокий уровень энергии Doublo HIFU до 2 Дж/см2 обеспечивает стойкий, стабильный и выраженный результат.

Благодаря широкой вариативности протоколов и манипул аппарат Doublo подходит для любого курса лечения косметологических пациентов, а возможность качественной диагностики защищает врача от ошибок и открывает безграничные просторы для роста профессиональных навыков.



НА ПРАВАХ РЕКЛАМЫ

Еще по теме

Доказано, что циркадные ритмы влияют на метаболизм коллагена
Новость
Доказано, что циркадные ритмы влияют на метаболизм коллагена
коллаген
космецевтика
наружные препараты
Новая схема ботулинотерапии шеи: меньше расход, тот же результат
Новость
Новая схема ботулинотерапии шеи: меньше расход, тот же результат
инъекции
ботулотоксин
шея и декольте
«Оземпик-фейс» стали гуглить в 46 раз чаще
Новость
«Оземпик-фейс» стали гуглить в 46 раз чаще
тренды
похудение
пластическая хирургия
От эстетики к терапии: расширенные показания лазерной эпиляции
Нативная статья
От эстетики к терапии: расширенные показания лазерной эпиляции
аппараты
лазеры
эпиляция