PicoLO

PicoLO
Аппараты
Официальный сайт в России:  ln-c.ru
Представители в России:  LNC (Leading Novator in Cosmetology)

PicoLO обеспечивает стабильную пиковую мощность, что дает возможность эффективной и безопасной работы, отсутствие повреждения верхних слоев кожи и прогнозируемый результат лечения.

...
Графики измерены при 1064 нм и 532 нм, соответственно с помощью осциллографа. Стандартные отклонения составляют менее 5%

Запатентованная технология DOE создана для равномерного распределения лазерного луча без потери энергии по всей площади.

...
Технология DOE в фракционных манипулах Dia FX для разделения одного лазерного луча на 81 микропучок

Клинически доказанный LIOB (лазеро-индуцированный оптический пробой). Лазерный луч оказывает фотомеханическое воздействие без термического эффекта (нагрева), создаются зоны микротравм, представленные в виде дермальных вакуолей, что стимулирует процесс заживления и приводит к омоложению кожи.

...
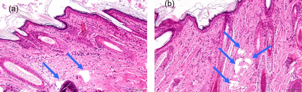
Гистология образцов кожи морской свинки (H&E, 200X).
а - Внутридермальный LIOB с помощью Dia FX глубиной 1064 нм. I (130 МДж, 3 Гц),
b - Внутридермальный LIOB с помощью Dia FX 1064 нм Lv. II (130 МДж, 10 Гц)

Инновационный трехуровневый контроль глубины воздействия, подтвержденный патентом. С наконечником Dia FX 1064 доступны три регулируемые глубины проникновения. DIA FX - авторские протоколы для различных видов показаний: PICO TONING, TIGHTENING, SCARS.

...
Уровни глубины воздействия I, II, III

Клинические показания

  • Удаление гиперпигментации, включая: хлоазма/мелазма, солнечное, юношеское, ПУВА-лентиго, веснушки, поствоспалительная гиперпигментация, отложения гемосидерина, невус Ота
  • Удаление татуировок любого цвета
  • Фракционное омоложение кожи, лифтинг и устранение морщин
  • Удаление перманентного татуажа всех цветов
  • Коррекция рубцов постакне
  • Сужение пор
  • Коррекция гипертрофических, атрофических и нормотрофических рубцов
  • Стимуляция роста волос
  • Себорейный кератоз
  • Picolo Dual Toning – «двойное тонирование» - эксклюзивный протокол отбеливания кожи
  • Карбоновый пилинг
  • Безоперационный лифтинг лица V-line

PicoLO оснащен 4 манипулами

Манипула Zoom Collimator Fractional 532 Fractional 1064
Длина волны 1064nm/532nm 1064nm/532nm 532nm 1064nm
Размер пятна 2-7mm 20x20mm 7x7mm 10x10mm

Технические характеристики

Тип лазера Неодимовый пикосекундный лазер на алюмоиттриевом гранате (ND:YAG)
Длины волн 1064 нм 532 нм
Длительность импульса 450 ps 380 ps
Энергия импульса 130-500 мДж 70-350 мДж
Частота повторения импульсов SIG, M3, M5, 1-10Гц
Манипулы и размер пятна Zoom: 2 - 7 мм
Collimator: 20 мм
Fractional 532: 7 мм
Fractional 1064: 10 мм
Требования к питанию 220-230 В переменного тока, 50/60 Гц
Способы охлаждения Встроенный водо-воздушный теплообменник
Габариты 50 (Ш) х 1080 (Д) х 970 (В)
Вес 110 кг
Дисплей 10,4" 800*600 TFT LCD
Регистрационное удостоверение № РЗН 2023/21648 от 06 декабря 2023 года

Публикации о PicoLO

Новые возможности пикосекундного лазера PicoLO
Медицина
Новые возможности пикосекундного лазера PicoLO
Доказанная эффективность в омоложении кожи, коррекции рубцов, пигмента и тату
RF и пикосекундный лазер: как работает микс технологий
Медицина
RF и пикосекундный лазер: как работает микс технологий
Новый подход к лечению гиперпигментации и рубцов

Реклама:

ООО «ЭЛЭНСИ»
Erid: 5jtCeReNwy8YtoKwYeZDSko