Быстрое развитие эстетической медицины сопровождается созданием новых технологий, ключевыми критериями для которых являются: безопасность, малоинвазивность, быстрый и комфортный реабилитационный период, длительность сохранения полученного эффекта, а также возможность составления индивидуального протокола терапии и продуктивного сочетания с другими косметологическими процедурами. Технология фракционного фототермолиза соответствует вышеперечисленным требованиям.
Первые фракционные лазеры появились в США в 2003 году. Они генерировали лазерное излучение с длиной волны 1500 нм, что в сочетании с фракционным принципом, то есть точечным воздействием микролуча на биологическую ткань, явилось принципиально новым подходом. В течение последующих лет первый аппарат, работающий по такой технологии, получил одобрение FDA для терапии различных состояний кожи, таких как, коррекция морщин, лечение нарушений пигментации, а также рубцовых образований.
Концепция фракционного фототермолиза была реализована и на базе традиционных аблятивных лазеров. В частности, во фракционный лазер был модифицирован традиционный СО2-лазер. В таком лазере вапоризация ткани происходит не по всей площади поверхности насадки, а последовательно, то есть узкий лазерный луч выпаривает ткань «точка за точкой», удаляя верхние слои кожи (в частности, слой эпидермиса). Современные лазерные системы, использующие излучение с длиной волны 10 600 нм (СО2-лазер), позволяют добиваться значительной глубины воздействия, формируя локализованные зоны абляции, что, однако, связанно с наличием открытой раневой поверхности и более высоким в сравнении с неаблятивными лазерами риском возникновения нежелательных эффектов1.
Эрбиевые лазеры с длиной волны 2940 нм (Er:YAG). Излучение таких лазеров в десятки раз лучше поглощается водой, чем у СО2-лазера. При этом в зоне абляции происходит настолько быстрое испарение тканей, что тепло практически не успевает распространяться за ее пределы. Поэтому абляцию эрбиевым лазером обычно называют «холодной»1. Как правило, глубина воздействия подобных лазеров относительно мала и не превышает 300 микрон.
Оптоволоконный эрбиевый лазер Er:Glass, генерирующий излучение с диной волны 1550 нм. При работе на этом лазере не происходит поверхностного испарения кожи (абляции), так как при взаимодействии микролуча с биологической тканью зона термального повреждения локализуется ниже рогового слоя эпидермиса. Это объясняется способностью данного лазерного излучения глубоко проникать в дерму, не вызывая чрезмерного нагрева эпидермальных слоев.
Таким образом, Er:Glass-лазер менее травматичен для кожи, чем СО2-лазер. Реабилитационный период после процедуры проходит быстрее и комфортнее для пациента. По сравнению с Er:YAG-лазером оптоволоконный эрбиевый лазер обладает значительно большей глубиной воздействия, а следовательно и более высокой ремоделирующей способностью.
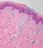
Основным хромофором для лазерного излучения с длиной волны 1550 нм, генерируемого лазерной системой Sellas, является содержащаяся в коже вода, поэтому нагрев, а следовательно и коагуляция ткани, происходит в нижних слоях эпидермиса и в дерме. При воздействии лазером Sellas верхние слои эпидермиса, содержащие минимальное количество воды, практически не повреждаются. В процессе воздействия лазерный луч создает в коже микротермальные зоны (МTЗ) – зоны фотокоагуляции в форме столбиков, перпендикулярных поверхности кожи, шириной до 220 мкм, глубиной до 1500 мкм, окруженные областью фотобиомодуляции, которая обладает повышенным потенциалом восстановления (рис.1)2,3.
Клетки этой зоны начинают синтезировать белки теплового шока (шапероны – HSP70, HSP47, HSP90), которые обладают различным действием на окружающую ткань. Клетки, которые неспособны к активному функционированию, подвергаются внутриклеточному протеолизу и апоптозу, а другие (в том числе и клетки базального слоя) начинают активно делиться, пролиферировать, участвуя в процессе репарации очагов микроповреждения.
Зоны фотокоагуляции разрешаются асептическим воспалением, в процессе которого часть некротических обломков фагоцитируется мигрирующими в эту зону макрофагами, а оставшиеся выходят на поверхность кожи. В течение 24–48 часов после воздействия базальный слой эпидермиса полностью восстанавливается. Эвакуированные некротические обломки отшелушиваются в течение 4–14 дней (Рис. 2). Считается, что скорость восстановления базального слоя зависит от диаметра первичного микроповреждения4-6.
Наблюдаемая пролиферативная стадия воспаления характеризуется синтезом новых структурных элементов эпидермиса и дермы, а также реогранизацией окружающего тканевого пространства5.
Рис.1. Схематичное изображение зон фотокоагуляции (МТЗ) и фотобиомодуляции после воздействия лазерного луча на гистологическом срезе кожи человека (Джастин Мунхо Со, MD, медицинский директор компании Dinona inc., Южная Корея)Окраска – ГЭ, х100
Данная медицинская технология реализуется посредством создания микротермальных зон в кожном покрове с заданной плотностью и глубиной с помощью фракционного лазера Sellas.
Микротермальная зона (зона фотокоагуляции).
Регенерация эпидермиса.
Эпидермис восстановлен.
Выход элементов, подвергшихся фотокоагуляции, на поверхность кожи, ремоделирование дермы.
Лазерный источник: оптоволоконный эрбиевый лазер, длина волны 1550нм. Плотность создания микротермальных зон составляет от 100 до 3025 МТЗ на 1.кв.см. за один проход.
Максимальная оптическая энергия одного микролуча - 30 мДж, что, обеспечивает необходимую для терапии глубину воздействия и, при адекватном выборе плотности энергии, своевременную термическую релаксацию подвергшихся воздействию тканей.
В лазере Sellas используется система «выборочного распределения лучей» - псевдохаотичный процесс формирования МТЗ с итоговым равномерным нанесением заданного количества МТЗ на область обработки. Данное техническое решение снижает тепловое воздействие на прилежащие ткани, делает процедуру более комфортной для пациента и уменьшает риск нежелательных явлений2.
Проведение процедур фракционного фототермолиза с помощью лазера Sellas рекомендовано в следующих случаях:
После процедуры проводят охлаждение очага с целью уменьшения эритемы и чувства жжения, наносят увлажняющий крем, выдают пациенту специально разработанную «Памятку» по уходу за кожей после процедуры фракционного фототермолиза в домашних условиях.
В первые дни не рекомендуется спать на животе, носить компрессионное белье (в случае проведения процедуры на теле). Увлажнение кожи с помощью крема необходимо проводить не менее 2–3 раз в день. Во время курса терапии и в течение 2-х месяцев после необходимо избегать прямого воздействия солнечных лучей, использовать солнцезащитные средства с SPF не менее 30. При длительном пребывании на солнце следует наносить фотозащитные средства каждые 2 часа6. Не использовать скрабы, пилинги и прочие отшелушивающие средства во время лечения, а также средства, содержащие гликолевую, салициловую кислоты или ретинол (прекратив их применение за 2–3 недели до процедуры и воздерживаясь от их использования в течение 2-х недель после процедуры). Пациенту рекомендуется ограничить курение на весь период лечения (вещества табачного дыма снижают репаративную способность кожи и эффективность процедуры)3.
Осложнения после процедуры фракционного термолиза на лазере Sellas развиваются крайне редко и обычно связаны с несоблюдением врачом параметров терапии кожи или пациентом правил постпроцедурного ухода. Их следует отличать от ожидаемой реакции кожи на воздействие фракционным лазером Sellas. При правильном проведении процедуры риски возникновения нежелательных эффектов минимальны.
Метод фракционного термолиза используется в мировой медицинской практике в течение 6 лет, на аппарате Sellas — 4 года, из них на территории России (в Хабаровске, Ростове-на-Дону, Москве, Перми и Челябинске) – 2 года. За это время курс процедур проведен более чем 600 пациентам в возрасте от 16 до 72 лет.
Клиническая эффективность метода оценивалась в Медицинском центре косметологической коррекции «Эклан» (под руководством О.С. Пановой.) и в Клинике превентивной медицины «Валлекс Мед» (под руководством Е.И. Губановой). В клинике «Эклан» в исследовании участвовало 30 пациентов (2 мужчин, 28 женщин) в возрасте от 35 до 57 лет.
В группу были включены пациенты со следующей патологией:
Для оценки результатов терапии применялись как субъективная оценка, так и инструментальные методы исследования в период до лечения, после 3 процедур и через 4 месяца после проведенной терапии.
Субъективная оценка результата терапии пациентами проводилась по трехбальной шкале (отлично, хорошо и удовлетворительно) после 4х процедур с интервалом 3-4 недели (рис. 3).
При проведении процедуры омоложения кожи лица все измерения проводились на латеральной части верхней губы. Исследуемые показатели претерпели следующие изменения:
Рис. 3. Субъективная оценка пациентами состояния кожи после 4-х процедур, проведенных на фракционном лазере Sellas:
71% - отлично
26% - хорошо
3% - удовлетворительно
Следует отметить, что в зависимости от патологии указанные параметры могут изменяться более выражено. Так, при работе с атрофическими рубцами (постакне, стрии, рубцы после хирургических операций) показатель рельефности уменьшается на 10.7% в связи с происходящим ремоделированием кожного покрова, а при терапии пигментации показатель тона кожи снижается на 11.5%2.


Рис. 4. Женщина, 72 года. До и после 4 процедур терапии возрастных изменений кожи лица. Фотографии без ретуши, предоставлены МЦКК «Эклан».


Рис. 5. Женщина, 47 лет. До и после 3 процедур терапии возрастных изменений кожи лица. Фотографии без ретуши. Материал из фотоархива компании «Валлекс М».


Рис. 6. Женщина, 49 лет. До и после 2 процедур терапии возрастных изменений кожи лица. Фотографии без ретуши. Материал из фотоархива компании «Валлекс М».


Рис. 7. Женщина, 65 лет. До и после 2 процедур терапии возрастных изменений в периоральной области. Фотографии без ретуши, предоставлены ООО «Валлекс М»


Рис. 8. Женщина, 35 лет До и после 5 процедур терапии стрий. Фотографии без ретуши, предоставлены МЦКК «Эклан»
Использование метода фракционного фототермолиза для коррекции эстетических недостатков и возрастных изменений кожи с помощью лазерного аппарата «Sellas» (длина волны 1550 нм), позволяет уменьшить размер расширенных пор, выраженность различных атрофических рубцов (постакне, стрий, постоперационных рубцов), проявления гиперпигментации (при мелазмах, солнечном и старческом лентиго), осуществить лифтинг кожи (в том числе верхнего и нижнего век), а также улучшить ее тургор и выровнять цвет.
Таким образом, данный медицинский метод позволяет получить выраженный положительный результат при минимальной вероятности появления несущественных временных осложнений.
Метод может быть использован в учреждениях, имеющих лицензию на соответствующий вид деятельности. Процедура должна проводиться врачами-хирургами и дерматовенерологами,
прошедшими специализированное обучение по работе с лазерными системами. Клиника превентивной медицины «Валлекс М», Москва.
Фото до и после процедур фракционного термолиза можно запросить у авторов статьи.