До или после: фракционная RF-терапия и нитевой лифтинг

13.10.2022
Статья
34310
13 мин на прочтение
Статья
13.10.2022
34310
13 мин на прочтение
Комбинация нитевого лифтинга и микроигольчатой радиочастотной терапии дает выраженный эффект омоложения лица, главное – правильно выбрать протокол. В статье приводим результаты лабораторных исследований и авторские клинические результаты.

Омоложение лица при помощи комбинации методов пусть и не самый простой, но эффективный подход, поскольку лицо – это весьма деликатная анатомическая область со сложной многослойной структурой. Процесс старения затрагивает все анатомические слои лица: кожу, подкожно-жировую клетчатку, мышцы, глубокие жировые компартменты, надкостницу и кости. В этом случае необходимо решить целый комплекс задач, поэтому важно правильно выбрать терапевтические мишени и методы воздействия на них.

Дермальный слой наиболее часто становится целью номер один, ведь именно от него зависит плотность и упругость кожи. Применяя аппаратные, инъекционные методы и топическую терапию, мы стараемся запустить процесс ремоделирования кожи – разрушить измененные в процессе хроно- и фотостарения структурные компоненты дермы и стимулировать синтез новых.

Однако не стоит забывать, что кожа – самый поверхностный слой лица, поэтому для формирования молодого контура мягких тканей лица необходимо также сфокусировать свое внимание на сети связок, фиксирующих кожу к подлежащим тканям (рис. 1)1, 2.

...
...
Рис. 1. Мягкие ткани лица: А – пять слоев лица; Б – мышцы и связки лица3.

Эта сеть начинается от надкостницы и, ветвясь, проходит через все слои мягких тканей:

  • мышцы (формируют удерживающие связки);
  • жировой слой и дерма (образуют фибросептальную сеть, которая разделяет жировую ткань на дольки и затем крепится к дерме, формируя связки кожи retinaculum cutis; RC). RC защищают кожу от гравитации и растяжения, а также сохраняют трехмерную волокнистую структуру (рис. 2)3. С возрастом происходит уменьшение площади и толщины RC, параллельно усугубляется дряблость кожи (рис. 3, 4)4, 5.
...
...
...
Рис. 2. Кожные связки (retinaculum cutis; RC) / фибросептальная сеть жировой ткани (ФСС) передней поверхности предплечья. Белые стрелки – глубокая фасция, черные – RC. М – мышца; Д – дерма3.
...
Рис. 3. Взаимосвязь между дряблостью кожи и площадью retinaculum cutis (RC). Слева – пациент с легкой степенью дряблости кожи; справа – с выраженной дряблостью. Более плотная сеть RC имелась у пациента с менее выраженной дряблостью кожи4.
...
Рис. 4. С возрастом снижается плотность расположения и толщина ФСС жировой ткани: к 44 годам жировая ткань утрачивает 50 % соединительнотканных перегородок, к 60 годам – 85%5.

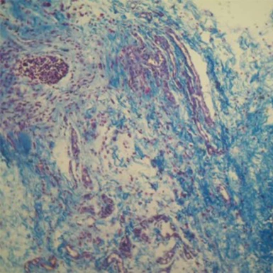
Еще одним состоянием, для которого характерна низкая плотность расположения RC, является синдром дисплазии соединительной ткани. При этом заболевании с генетической предрасположенностью кожа тонкая, вялая, гиперрастяжимая, с низким регенераторным потенциалом и более ранним появлением признаков старения (рис. 5)6.

...
Рис. 5. Гиперрастяжимость кожи при синдроме дисплазии соединительной ткани (фото предоставлено В. А. Лысиковой).

Фибросептальная сеть (ФСС) / RC представляет интерес для лицевых хирургов и косметологов, поскольку выполняет функцию опоры и фиксации мягких тканей лица.

Для одновременного воздействия на кожу и ФСС используется комбинация нитевого лифтинга и радиочастотной микроигольчатой терапии, однако в вопросе очередности применения методов и временного интервала между ними все еще нет единого алгоритма.

Фракционная RF-терапия и нитевой лифтинг: биологические эффекты на тканевом уровне

Нитевой лифтинг

Методики нитевого лифтинга мягких тканей лица отличаются между собой по материалам, конфигурации нитей и технике введения.

В случаях, когда необходимо не только сместить и зафиксировать мягкие ткани, но и запустить омоложение кожи, применяются биостимулирующие нити. В тканях вокруг нитей активизируются регенерация, синтез коллагена, эластина и других компонентов межклеточного матрикса. В результате формируется каркас из новообразованного коллагена.

Наглядно структурные изменения тканей после введения нитей демонстрируются в ряде исследований.

При имплантации нитей из полидиоксанона (PDO) и поли-L-молочной кислоты (PLLA) в кожу спины крыс наблюдались статистически значимое усиление синтеза коллагеновых и эластиновых волокон, а также запуск ангиогенеза (табл. 1) (рис. 6, 7)7.

Таблица 1. Структурные изменения дермы и подлежащих тканей в зоне введения нитей PLLA и PDO у экспериментальных животных на 90-й день.

Показатель PDO PLLA
Площадь эластиновых волокон +36% +26%
Площадь коллагеновых волокон +64% +74%
Относительная площадь мышечной ткани +16% +16%
Относительная площадь соединительной ткани +81,09% +80%
Относительная площадь жировой ткани +5% +4%
...
Рис. 6. Неоколлагеногенез и неоэластогенез в дерме кожи над имплантированной нитью из поли-L-молочной кислоты на 90-е сутки. Коллагеновые волокна окрашены в синий, эластиновые – в красный цвет7.
...
Рис. 7. Участок дермы над имплантированной нитью из полидиоксанона на 90-й день эксперимента. Увеличение доли эластиновых волокон (красный цвет) по отношению к коллагеновым (синий цвет) в дермальном слое7.

Клеточная воспалительная реакция вокруг обоих видов нитей характеризовалась как «умеренная» вокруг нитей PDO и «слабая» – вокруг нитей PLLA. Согласно заключению автора, нити на основе полидиоксанона и поли-L-молочной кислоты могут применяться для армирования мягких тканей, при этом, исходя из особенностей клеточной реакции окружающих тканей, применение нитей из поли-L-молочной кислоты по сравнению с нитями из полидиоксанона будет иметь меньшую вероятность развития гранулемы инородного тела вокруг имплантированной нити.

Результаты исследования Lee C.G. свидетельствуют о запуске синтеза преимущественно коллагена III типа в ответ на введение нитей на основе поликапролактона (PCL), PDO и PLLA в кожу спины крыс (рис. 8)8.

Мягкие ткани лица
Рис. 8. Имплантация нитей PLLA, PCL и PDO в кожу спины крыс привела к активному запуску синтеза коллагена III типа8.

Уровень постановки биостимулирующих нитей – глубокие слои дермы либо поверхностные слои подкожно-жирового слоя, так как именно при данном уровне имплантации достигается наилучший эффект стимуляции неоколлагеногенеза9.

Для фиксации нитей на данном уровне служат перегородки ФСС/RC. Как упоминалось выше, в силу возрастных изменений или индивидуальных особенностей плотность расположения и толщина этих соединительнотканных структур может снижаться. Для создания крепкого волокнистого каркаса, способного удержать нить, может быть использована радиочастотная микроигольчатая терапия.

Фракционная RF-терапия

В радиочастотной микроигольчатой терапии иглы аппликатора представляют собой заостренные электроды, испускающие радиочастотный ток. В отличие от поверхностного расположения электродов в случае классических RF-устройств, игольчатые электроды вводятся непосредственно в кожу. Снимается «ограничение», связанное с роговым слоем, и более интенсивно прогреваются глубокие ткани без риска возникновения ожогов. После формирования локальных зон повреждения в коже запускается процесс регенерации9.

Согласно лабораторным и клиническим исследованиям, обработка кожи посредством радиочастотного микроигольчатого устройства запускает синтез новых коллагеновых и эластиновых волокон – происходит ремоделирование дермы с максимальным эффектом к 4–6 мес. после процедуры (рис. 9, 10)10.

...
Рис. 9. Увеличение количества муцина (гликопротеин межклеточного вещества, обеспечивающий увлажнение кожи), неоколлагеногенез после радиочастотного микронидлинга: А – через 1 нед. после процедуры; Б – через 1 мес.; В – через 3 мес10.
...
Рис. 10. Неоэластогенез после радиочастотной микроигольчатой терапии: А – непосредственно после процедуры в зоне воздействия находятся крупные денатурированные эластиновые волокна; Б – через 1 мес. в очаге признаки неоэластогенеза; Б – через 3 мес. после процедуры10.

Morpheus8: инструмент комплексного преобразования мягких тканей

Для комплексного преобразования мягких тканей компания InMode разработала фракционный радиочастотный аппликатор Morpheus8. В случае комбинированного применения с нитевым лифтингом наиболее востребован именно эффект воздействия радиочастотной энергии на ФСС жировой ткани.

Аппликатор Morpheus8 оснащен линейкой насадок, предназначенных для обработки мягких тканей на разной глубине (от 600 мкм до 7 мм). Независимо от типа насадки каждый игольчатый электрод имеет золотое покрытие, за исключением дистальных 500 мкм (золото не проводит радиочастотный ток и не плавится при высоких аблятивных температурах 80–85°C), – так обеспечивается защита дермо-эпидермального соединения от термического повреждения.

Игольчатые электроды вводятся в мягкие ткани посредством возвратно-поступательного механизма. Проникновение игольчатого электрода через дерму в жировую ткань представляет собой механическое нетермическое фракционное повреждение дермы, которое приводит к ремоделированию и улучшению состояния дермы. После введения на целевую глубину осуществляется подача радиочастотного тока с формированием нескольких зон термического повреждения:

  • зоны абляции;
  • зоны обратимой коагуляции (обе зоны обусловливают сокращение ФСС);
  • зоны некоагуляционного, неаблятивного нагрева ткани (рис. 11).
...
Рис. 11. Morpheus высвобождает RF-энергию с положительно заряженного кончика игольчатого электрода, погруженного в жировую ткань, что приводит к коагуляции поверхностной жировой ткани и сокращению пучков волокон ФСС жировой ткани, которые определяют степень натяжения кожи, причем с сокращением ФСС происходит выраженное сокращение и уплотнение кожи.

Зона абляции образуется при нагреве >100°C, а зона обратимой коагуляции – при нагреве до 60‒85°C.

В протоколе подготовки к нитевым методам мишенью воздействия является подкожно-жировая клетчатка.

Через изолированные электроды подается запатентованный импульс RF-энергии, который коагулирует (сокращает) субдермальную жировую ткань и, что важно, укорачивает горизонтальные, косые, вертикальные соединительнотканные волокна ФСС. Сокращение ФСС обеспечивает значительное уплотнение мягких тканей и устранение вышележащих морщин, рубцов, неровного рельефа кожи, пор, даже растяжек и рубцов постакне (рис. 12).

...
Рис. 12. Несколько проходов на разных уровнях приводят к горизонтальному и вертикальному фракционному ремоделированию жировой ткани и ФСС вместе с дермальным ремоделированием для оптимального уплотнения кожи и сокращения мягких тканей.

Затем RF-энергия направляется вверх вдоль микроигл с силиконовым покрытием и вдоль ФСС к отрицательно заряженным ромбовидным электродам на поверхности кожи, которые окружают игольчатые электроды. Это обеспечивает неаблятивный, ненекротический нагрев папиллярной и ретикулярной дермы и кожи, стимулирующий выработку нового коллагена, эластина и основного вещества соединительной ткани. Происходит дополнительное уплотнение мягких тканей11. Перегородки ФСС становятся плотнее и способны выдержать механическую нагрузку в виде имплантированной нити.

Комбинация методов: как добиться синергизма и избежать осложнений

Применение фракционной RF-терапии в сочетании с нитевым лифтингом преследует две цели:

  1. Уменьшение общей массы мягких тканей за счет уплотнения.
  2. Создание плотного соединительнотканного каркаса для прочного крепления имплантированных нитей.

При обсуждении алгоритма проведения микроигольчатой RF-терапии и нитевого лифтинга следует уделить особое внимание вопросу биодеградации нитей.

  • Резорбция PDO-нити начинается с потери прочности на растяжение с последующей потерей массы. Нить сохраняет приблизительно 70 % своей прочности в течение 4 нед. после имплантации в ткани и около 50 % прочности в течение 6 нед. Период полной деградации в тканях – 6–8 мес.12.
  • Срок биодеградации нити PLLA сравнительно долгий – от 18 до 24 мес. Процесс биодеградации начинается с уменьшения молекулярной массы полимера, однако механические характеристики не имеют значимых изменений в течение первых 16 нед.13.
  • Нити PCL отмечают меньшую потерю массы с течением времени и имеют самый долгий срок биодеградации – более 2 лет14.

Эти сроки действительны лишь при температуре 37°C. Скорость биодеградации нитей при нагреве значительно повышается (табл. 2).

Таблица 2. Температура плавления и стеклования биодеградируемых нитей14, 15.

Вид нитей Температура
PDO Температура плавления – 60 °C
PLLA Температура стеклования – 54–58 °С, при 60 °C потеря массы составляет 90 %
PCL Температура плавления – 59–64 °С

Температура стеклования – температура, при которой некристаллизующееся или не успевающее закристаллизоваться вещество становится твердым, переходя в стеклообразное состояние (прим. ред.).

По этой причине радиочастотный нагрев тканей после инфильтрационной анестезии может вызвать выраженную потерю массы нити, что требует особого алгоритма совместного применения двух технологий (табл. 3).

Таблица 3. Возможные сочетания нитевых технологий и фракционной радиочастотной терапии.

В одну процедуру
Morpheus8 + нити одномоментно

Первой проводится процедура аппаратного воздействия с последующей инфильтрационной анестезией и имплантацией нитей.

Возможно работать на разных глубинах!

Нити + Morpheus8 одномоментно

При имплантации нитей применяется инфильтрационная анестезия, что значительно меняет электропроводность тканей.

Высокотемпературный прогрев может менять физико-химические свойства нити.

Возможно сочетать, но с соблюдением разной глубины!

Рекомендуется проводить обработку Morpheus8 интрадермально с глубиной пенетрации 1–2 мм, а также не применять высокие мощности

С интервалом
Morpheus8 за 1–3 мес + нити

Morpheus8 будет являться прекрасным методом подготовки тканей: возможно работать на разных глубинах (1–4 мм на лице и 1–7 мм на теле), достигая максимального результата

Нити за 6–12 мес + Morpheus8

Нити из PLLA будут являться прекрасным стимулятором синтеза коллагена и эластина, последующее воздействие Morpheus8 усилит полученный результат.

Возможно работать на разных глубинах.

Нить из PCL, возможно, требует большего временного интервала.

Нить из PDO полностью биодеградирует через 6 мес. Можно проводить обработку Morpheus8 на любой глубине

Клинический случай

Пациентка с ИМТ 34,5 (вес 94 кг), деформационно-отечный морфотип старения:

  • гипертрофия и дислокация поверхностных жировых пакетов, визуализация малярных жировых пакетов;
  • избыток кожи верхнего и нижнего века;
  • морщины покоя в области глабеллы, лба и вокруг глаз (рис. 13).
...
До
...
После
...
До
...
После
...
До
...
После
Рис. 13. Пациентка с деформационно-отечным морфотипом старения: слева – исходное состояние; справа – результат комбинированной терапии (Morpheus8 + нитевой лифтинг).

Протокол комбинированной терапии приведен в табл. 4.

Таблица 4. Протокол комбинированной терапии.

1-й этап: радиочастотная микроигольчатая терапия Morpheus8
Носогубные складки 3 мм, Single 41 Дж/см2 2 прохода + 3 мм, Fixed 45 Дж/см2 1 проход
Область скул 3 мм, Fixed 38 Дж/см2 3 прохода
Субментальная область 4 мм Fixed 45 Дж/см2 4 прохода
Периорбитальная область 2 мм Single 38 Дж/см2
Область лба и глабеллы 2 мм Single 35 Дж/см2
2-й этап (через 1 мес.): имплантация C-образных и Т-образных биодеградируемых нитей (PLLA)

Через 1 нед. и 1 мес. после процедуры Morpheus8 у пациентки были взяты образцы тканей субментальной зоны. Наблюдались следующие структурные изменения состояния жировой ткани и соединительнотканных перемычек:

  • через 1 нед. – признаки лизиса адипоцитов;
  • через 1 мес. – признаки распада адипоцитов, уменьшение среднего размера адипоцитов на 37,6%, уплотнение и реструктуризация коллагеновых волокон (плотность возросла на 42,4%), более 62% волокон имеют строгую ориентацию по сравнению с исходным состоянием (34%) (рис. 14).
...
...
...
...
Рис. 14. Изменение структуры подкожно-жирового слоя после обработки Morpheus8: А – исходное состояние; Б – через 1 нед. после процедуры; В – через 1 мес. после процедуры; Г – уплотнение и реструктуризация коллагеновых волокон ФСС через 1 мес. после процедуры (материал предоставлен С. Л. Первых).

По завершении комбинированной терапии наблюдалось улучшение качественных характеристик кожи: уплотнение, выравнивание рельефа, сужение пор, подтяжка верхнего века и субментальной области (см. рис. 13).

Для деформационно-отечного морфотипа старения характерен избыток подкожно-жировой клетчатки, поэтому изолированное применение нитевого лифтинга не принесет должного эффекта. В этом случае Morpheus8 может стать основой, которую при необходимости дополняют другими процедурами.

При комбинации с нитевым лифтингом радиочастотную микроигольчатую терапию необходимо провести за 1–4 мес. для достижения максимального синергичного эффекта.

Выводы

Микроигольчатая RF-терапия и нитевой лифтинг при научно обоснованном выборе протокола обеспечивают выраженный эффект омоложения лица.

Хотя оба метода позволяют достичь ремоделирования и уплотнения дермы благодаря запуску синтеза коллагена и эластина, фракционное RF-воздействие имеет еще одну важную мишень – подкожно-жировую клетчатку с сетью соединительнотканных перегородок.

Согласно исследованию Duncan D.I., радиочастотное воздействие на вертикальную, косую и горизонтальную ФСС позволяет на треть усилить эффект сокращения и уплотнения мягких тканей 16.

Сокращение мягких тканей и формирование плотных перемычек ФСС создают прекрасную основу для проведения нитевого лифтинга, главное – соблюдать временные интервалы между процедурами, чтобы предотвратить преждевременную деградацию нитей.

Источники:

  1. Corduff N. Neuromodulating the SMAS for Natural Dynamic Results. Plast Reconstr Surg Glob Open 2021; 9(8): e3755.
  2. Burrows A.M., Rogers-Vizena C.R., Li L., Mendelson B. The Mobility of the Human Face: More than Just the Musculature. Anat Rec (Hoboken) 2016; 299(12): 1779–1788.
  3. Nash L.G., Phillips M.N., Nicholson H., et al. Skin ligaments: regional distribution and variation in morphology. Clin Anat 2004; 17(4): 287–293.
  4. Sakata A., Abe K., Mizukoshi K., et al. Relationship between the retinacula cutis and sagging facial skin. Skin Res Technol 2018; 24(1): 93–98.
  5. Duncan D.I., Kim T.H., Temaat R. Quantification of adipose volume reduction with a prospective study analyzing the application of external radiofrequency energy and high voltage ultrashort pulse duration electrical fields. J Cosmet Laser Ther 2016; 18(6): 323–329.
  6. Борзых О.Б., Петрова М.М., Карпова Е.И., Шнайдер Н.А. Дисплазии соединительной ткани в практике врача-косметолога и дерматолога. Особенности диагностики и ведения пациентов. Вестник дерматологии и венерологии 2022; 98(1): 19–32.
  7. Штыркова Е.В. Морфологическая характеристика регенеративного гистогенеза кожи при применении биодеградируемых монофиламентных нитей: дис. … канд. мед. наук. Саратов, 2021. 123 с.
  8. Lee C.G., Jung J., Hwang S., et al. Histological Evaluation of Bioresorbable Threads in Rats. KJCLS 2018; 50: 217–224.
  9. Arnoczky S.P., Aksan A. Thermal modification of connective tissues: basic science considerations and clinical implications. J Am Acad Orthop Surg 2000; 8(5): 305–313.
  10. Manuskiatti W., Pattanaprichakul P., Inthasotti S., et al. Thermal Response of In Vivo Human Skin to Fractional Radiofrequency Microneedle Device. Biomed Res Int 2016; 2016: 6939018.
  11. Mulholland S. The InMode Book 2021. https://prev.boomerangfx.com/the-inmode-book-3/
  12. Molea G., Schonauer F., Bifulco G., D’Angelo D. Comparative study on biocompatibility and absorption times of three absorbable monofilament suture materials (Polydioxanone, Poliglecaprone 25, Glycomer 631). Br J Plast Surg 2000; 53(2): 137–141.
  13. Sulamanidze M., Shiffman M., Paikidze T., et al. Facial lifting with APTOS threads. International Journal of Cosmetic Surgery and Aesthetic Dermatology 2021; 3: 275–281.
  14. Легонькова О.А., Асанова Л.Ю. Линейные полиэфиры в современной медицине. Высокотехнологическая медицина 2017; 1; 16–31.
  15. Georgiopoulos P., Kontou E., Meristoudi A., et al. Τhe effect of silica nanoparticles on the thermomechanical properties and degradation behavior of polylactic acid. J Biomater 2014; 29(5): 662–674.
  16. Duncan D.I. Improving Outcomes in upper arm liposuction: Adding radiofrequency-assisted liposuction to induce skin contraction. Aesth Surg J 2012; 32(1): 84–95.

Еще по теме

Oligio & Neauvia: яркий эффект или «тихая роскошь»?
Протокол
Oligio & Neauvia: яркий эффект или «тихая роскошь»?
инъекции
филлеры
гиалуронан
аппараты
сочетанные протоколы
Онаботулинотоксин А для коррекции платизмы: новый мета-анализ
Новость
Онаботулинотоксин А для коррекции платизмы: новый мета-анализ
инъекции
ботулотоксин
шея и декольте