HELEO4™ - фотодинамическая терапия в омоложении

11.04.2019
Статья
24494
6 мин на прочтение
Статья
11.04.2019
24494
6 мин на прочтение
Как уменьшить проявления фотостарения кожи с помощью современных LED-аппаратов и фотосенсибилизатора последнего поколения? Представляем протокол коррекции

Первые клинические признаки фотостарения появляются на открытых участках кожи, прежде всего на лице, в виде неравномерного цвета, сухости и истончения, нарушения структуры эпидермиса, снижения тонуса, упругости и эластичности кожи, появления мелких и средней глубины морщин. Возрастные изменения быстро прогрессируют. Одним из актуальных способов воздействия на проявления фотостарения кожи является фотодинамическая терапия (ФДТ) HELEO4™.

Кожа является защитным барьером для всего организма и первой встречает агрессивное воздействие окружающей среды. Преждевременное старение поддается корректировке, так как оно вызвано внешними факторами: образом жизни и питанием, особенностями окружающей среды, ультрафиолетовым облучением, разнообразными заболеваниями и пр. Ультрафиолетовое воздействие носит повреждающий характер и обуславливает примерно 80 % случаев преждевременного старения кожи (фотостарение). Результаты изучения молекулярных механизмов фотостарения, полученные в последние годы, указывают на нарушение нормального функционирования клеток при избыточном УФ-облучении. Это объясняется преобладанием окислительных процессов, приводящих к необратимым нарушениям регуляторных механизмов роста и дифференцировки клеток, а также созданием благоприятных условий для реализации всех этапов онкогенеза.

Клинические проявления фотостарения кожи могут возникать в любом возрасте, а степень их выраженности зависит от суммарной дозы УФ-излучения, полученной в течение жизни.

Современным методом воздействия на кожу с признаками фотостарения является фотодинамическая терапия, основанная на селективной деструкции поврежденных клеток в результате фотохимического воздействия при взаимодействии накапливающегося в них фотосенсибилизатора и активирующего его света определенной длины волны.

В настоящее время известно более 1000 соединений, способных выступать в качестве фотосенсибилизаторов. Для топического использования одним из самых комплексных форм является чистый хлорин е6. Его получают в результате специфической переработки «живой» спирулины (Spirulina platensis). В отличие от порфиринов хлорины сильно абсорбируют в красной области спектра. На сегодня исходный хлорин е6 максимально возможной чистоты – это трисмеглуминовая соль хлорина е6.

После нанесения препарата на кожу происходит накопление на мембранах клеточных структур поражённой ткани производных хлорина Е6. Воздействие на эти клетки светом в интервале длин волн (630±5нм), совпадающих со спектром поглощения производных хлорина Е6, приводит к активации клеточных и гуморальных факторов иммунной системы человека, увеличению производства продукции пероксидантов (синглетный кислород, NO и др.), вызывающих каскад биохимических реакций, подавляющих развитие патологических процессов, в том числе путем инициирования процесса апоптоза в клеточных структурах. Происходит нормализация крово- и лимфотока, реологических свойств крови, стимуляция синтеза АТФ – основного носителя энергии в процессах, протекающих в организме, достигаются противовоспалительный, регенеративный, обезболивающий, противоотечный, десенсибилизирующий и иммуномодулирующий эффекты.

Большое значение имеет источник света, с помощью которого получается излучение с необходимой длиной волны. При наружном использовании и значительной площади воздействия (все лицо) особенно удобным является применение LED-источников света.

Неинвазивность в сочетании с эффективностью являются преимуществами фотодинамической терапии перед альтернативными методами коррекции возрастных изменений. Видимый результат уменьшения выраженности «гусиных лапок» отмечается уже через 6 дней после первой процедуры.

Протокол процедуры

  • Очищение кожи: любым средством для умывания.
  • Эксфолиация HELEO4™ GENTLE EXFOLIATING GEL – щелочным препаратом с папаином. Экспозиция на 5–7 минут на влажную кожу, включая область век, далее – смыть водой.
  • Высушить кожу салфетками.
  • Активно втереть ~2 мл фотосенсибилизатора HELEO4™ ACTIVE PDT GEL ANTIAGE.

Экспозиция ANTIAGE занимает ~15 минут.

Препарат НЕ СМЫВАТЬ. Провести воздействие светом.

  • Время воздействия лампы зависит от исходной мощности.
  • Задача: накопить 100–150 Дж/см2
  • Выбор спектра зависит от решаемой проблемы.
  • Нанести питательный дневной крем HELEO4™ ACTIVE FACE CREAM ANTIAGE.

Рекомендуемый курс: 5 процедур с интервалом 7 дней.

Материалы и методы

HELEO4™ – фотодинамическое воздействие с высокой клинической эффективностью на основе фотосенсибилизирующего геля последнего поколения Сферометаллохлорина™ и LED-излучения HARMONIA PRO. Активный гель HELEO4™ ACTIVE PDT GEL ANTIAGE – основные компоненты: трисмеглуминовая соль хлорина Е6 и токоферол. В качестве источников света в лампе HARMONIA LED PRO используются сверхмощные светодиоды (High Power LED). Длины волн HELEO4™ составляют 410±5нм, 580±5нм и 630±5нм.

HELEO4™ ACTIVE PDT GEL ANTIAGE

HELEO4™ ACTIVE PDT GEL ANTIAGE

HARMONIA LED PRO

HARMONIA LED PRO

Результат коррекции

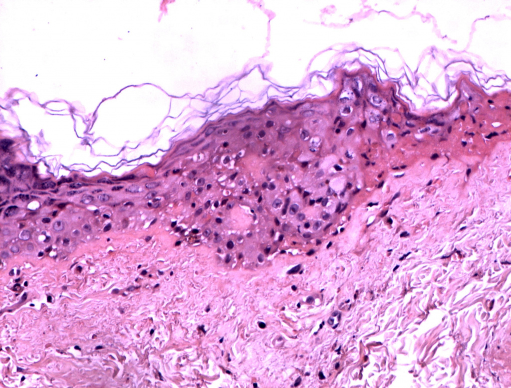
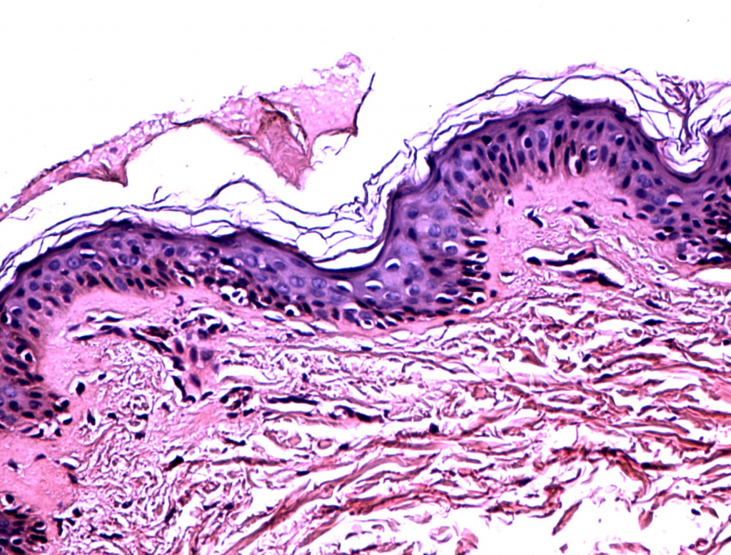
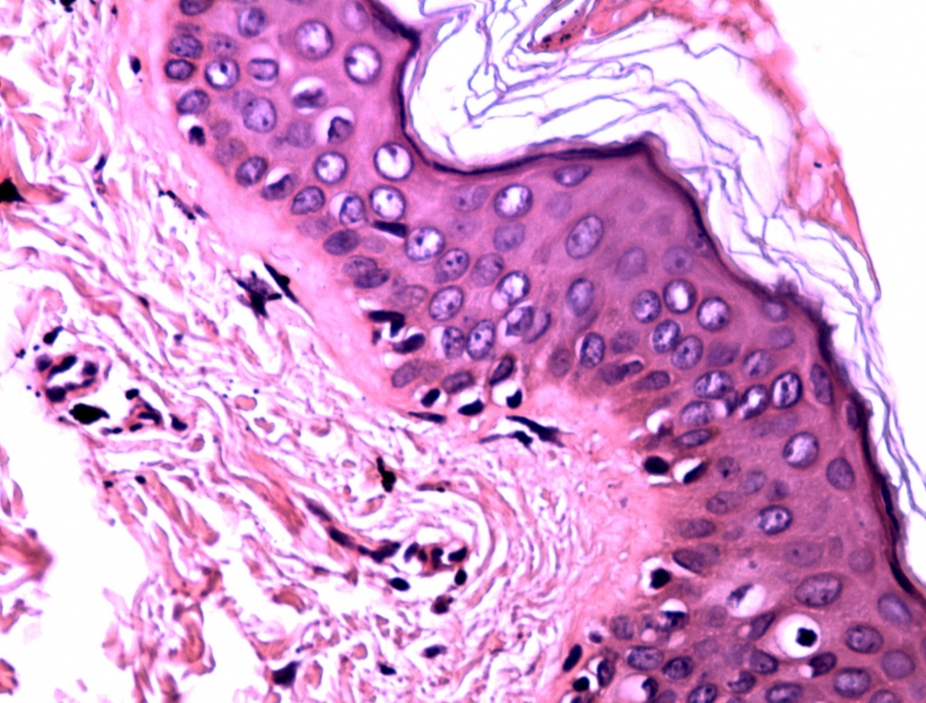
Уже после первой процедуры отмечается выравнивание цвета лица и увеличение тургора кожи (рис. 1-2). Процедуры переносятся очень комфортно, небольшая гиперемия в некоторых случаях держится до 30 минут. По результатам 3D-сканирования уменьшилась выраженность мелких морщин вокруг глаз уже через 6 дней после первой процедуры (рис. 1-6). Также проведено гистологическое исследование сразу после процедуры (рис. 7) (фрагмент «тонкой» кожи: единичными лейкоцитами в толще эпидермиса и на его поверхности, ядра клеток эпидермиса и их цитоплазма на данном участке набухшие, сосочки дермы несколько сглажены, рыхлая волокнистая соединительная ткань сосочкового слоя дермы отечна), на третий день (рис. 8) (отмечается уменьшение количества набухших ядер в эпидермисе, мелкоочаговое кровоизлияние в сетчатом слое дермы с перифокальной сосудистой реакцией и слабовыраженным отеком сетчатого слоя дермы) и спустя 20 дней после процедуры (рис. 9) (В представленном фрагменте кожи заметна умеренная пролиферация клеток эпидермиса и дермы. Отмечается уплотнение коллагеновых волокон сетчатой дермы. Патологических изменений в эпидермисе, дерме, придатках кожи не обнаружено). Также наблюдаются изменения показателей влажности, пигментации и эластичности кожи (рис. 10-11).

Фото до проведения процедуры HELEO4

Рис. 1. До проведения процедуры HELEO4

Фото после проведения процедуры HELEO4

Рис. 2. После проведения процедуры HELEO4

Фото 3D до проведения процедуры HELEO4

Рис. 3. До проведения процедуры HELEO4

Фото 3D после проведения процедуры HELEO4

Рис. 4. После проведения процедуры HELEO4

Фото 3D до проведения процедуры HELEO4

Рис. 5. До проведения процедуры HELEO4

Фото 3D после проведения процедуры HELEO4

Рис. 6. После проведения процедуры HELEO4

Гистология сразу после процедуры HELEO4

Рис. 7. Гистология сразу после процедуры HELEO4™

Гистология через 3 дня после процедуры HELEO4

Рис. 8. Гистология через 3 дня после процедуры HELEO4™

Гистология через 20 дней после процедуры HELEO4

Рис. 9. Гистология через 20 дней после процедуры HELEO4™

Результаты процедуры HELEO4

Рис. 10.

Результаты процедуры HELEO4

Рис. 11.

Выводы

Исходя из морфологических и клинических данных процедура интересна для клиницистов в комплексном подходе при коррекции первых признаков фотостарения, вызванных влиянием окружающей среды и может быть показана пациентам разных возрастных групп и морфотипов.

Еще по теме