Лечение симптомокомплекса постакне у сложных пациентов: авторские протоколы

16.01.2023
Статья
10596
10 мин на прочтение
Статья
16.01.2023
10596
10 мин на прочтение
В статье приведен сочетанный протокол лечения атрофических рубцов у пациентки со сниженным регенераторным потенциалом дермы на фоне приема системных ретиноидов.

Введение

В настоящее время лечение атрофических рубцов постакне является одной из сложных задач, встречающихся в клинической практике любого врача-косметолога. Особенно если у пациента имеются сопутствующие факторы, которые способствуют снижению регенераторного потенциала кожи, такие как прием системных ретиноидов.

Клинический пример

Пациентка M., 35 лет. Страдает акне с 15 лет до настоящего времени. Принимала Сотрет 2 года (2018–2020), активное воспаление удалось купировать. С целью эстетической коррекции было проведено 2 сеанса СО2-шлифовки и 3 процедуры микроигольчатого RF-лифтинга. Отмечался длительный и болезненный период реабилитации. Результатом аблятивных методик не удовлетворена. На основании сбора анамнеза, осмотра и данных инструментальных методов диагностики (Antera) поставлен диагноз: Постакне. Изменения структуры кожи (R 23.4)

Почему пациент не удовлетворен результатом?

Есть ряд причин, которые могут повлиять на результативность лечения.

Длительный прием системных ретиноидов ведет к снижению регенераторного потенциала кожи, а также отсутствие системного домашнего ухода, сложный микрорельеф кожи, отягощенный семейный анамнез. Эти и другие причины в совокупности могут влиять на процесс достижения результата у пациентов с атрофическими рубцами постакне.

Рассмотрим общепринятые методики, которые используются в лечении атрофических рубцов:

  1. Ферментная терапия: гиалуронидаза (интервал введения определяется клинической картиной).
  2. Неодимовый лазер с целю селективной абляции кровеносных сосудов.
  3. Терапия фракционными аблятивными методиками с целью деструкции патологических рубцовых тканей (Er:Yag, СO2, микроигольчатый RF).
  4. Фотодинамическая терапия (ФДТ).
  5. Инъекционные методики: PRP-терапия, коллагеностимуляция, ботулинотерапия.
  6. Пилинги – поверхностные, срединные.
  7. PRX-T-терапия.
  8. Корнеотерапия.

С учетом особенностей анамнеза пациентки, тяжелого течения заболевания, негативного отношения пациентки к болезненным ощущениям и длительного периода реабилитации был разработан следующий протокол лечения:

МЕТОДИКА ОБОСНОВАНИЕ ЦЕЛЕСООБРАЗНОСТИ КОЛИЧЕСТВО ПРОЦЕДУР В КУРСЕ
HELEO4™ Восстановление регенераторного потенциала кожи, инициация коллагеногенеза, коррекция гиперкератоза и микробиома кожи, детоксикация тканей 4х2 р/нед
PRP-терапия (CeIIenis PRP) Стимуляция регенерации и восстановление трофики тканей-неоколлагеногенеза, неоангиогенеза 3x1 р/мес
PRXT Коррекция гиперкератоза, стимуляция синтеза коллагена, ускорение эпидермальной кинетики 4x1 р/нед
iPixel Er:YAG  2940 нм (Harmony XL PRO Alma Lasers) Деструкция патологической рубцовой ткани 2-3 процедуры
Мягкий филлер Neauvia Коррекция зоны атрофии, выравнивание микрорельефа кожи 1 процедура
HELEO4™, протокол Anti-Acne Нормализация микробиома кожи, профилактика появления папуло-пустулезных элементов, стимуляция синтеза коллагена, ускорение интеграции филлера в ткани кожи 4x2 р/нед
Домашний уход Neauvia (космецевтика) Себорегуляция, выравнивание текстуры кожи, коррекция микробиома, восстановление дермального барьера Регулярное применение

Рассмотрим методики, которые были использованы для реализации данного протокола

...

HELEO4™ – активные фотосенсибилизирующие гели – инновационные, высокотехнологичные продукты, результат разработки российских ученых.

Они проникают в кожу, идентифицируют клетки «с измененным метаболизмом» и выводят их из организма естественным путем.

HELEO PRO LED – аппарат с новыми возможностями. В настоящее время ведущие организации косметологов и дерматологов говорят в одном ключе: удалив клетки с измененным метаболизмом, мы повышаем тканевые ресурсы, тем самым положительно влияем на течение всех процессов, потенцированных в результате косметологических процедур. Таким образом, мировое сообщество антивозрастной медицины выделяет 3 основных аспекта для оптимального восстановления кожи в случае травматизации.

  1. Устранение воспаления, восстановление иммунитета, запуск апоптоза сенесцентных клеток.
  2. Антибактериальный, противовирусный, фунгицидный эффекты.
  3. Стимуляция собственных факторов роста и сохранение ресурса стволовых клеток.

Все эти эффекты мы можем реализовать с помощью фотодинамической терапии HELEO4™. Рассмотрим механизм действия данной методики:

...
Фотосенсибилизатор HELEO4™ проникает в кожу
...
Находит клетку с измененным метаболизмом и накапливается вокруг неё
...
Энергия света, излучаемая HELEO PRO LED, «улавливается» HELEO4™, который в свою очередь, передает её кислороду в тканях, в результате чего он становится синглетным
...
Синглетный кислород вызывает самоликвидацию (апоптоз) клеток с измененным метаболизмом

Синглетный кислород инициирует перекисное окисление жирных кислот мембраны клетки, органелл клетки, запуская процессы апоптоза. Синглетный кислород – это сильный окислитель биомолекул, вызывающий гибель клеток при наличии его в тканях в достаточном количестве. Продолжительность жизни синглетного кислорода в биологических системах составляет менее 0,04 мс, а радиус цитотоксического действия – около 20 нм.

Также для стимуляции коллагеногенеза без инъекций была использована PRX-Т-терапия, которая на данный момент является золотым стандартом NEEDLE FREE биоревитализации. Модулированная TCA 33 %, Н2O2 в низкой концентрации, койевая кислота 5 %. Препарат имеет РУ № РЗН2021\14946 на территории РФ, в отличие от других продуктов, в состав которых входит трихлоруксусная кислота.

Методика PRX-T-терапии имеет ряд преимуществ:

  • Не повреждает эпидермис
  • Проникает до сосочкового слоя дермы
  • Запускает каскад метаболических реакций
  • Стимулирует репарацию дермы
...

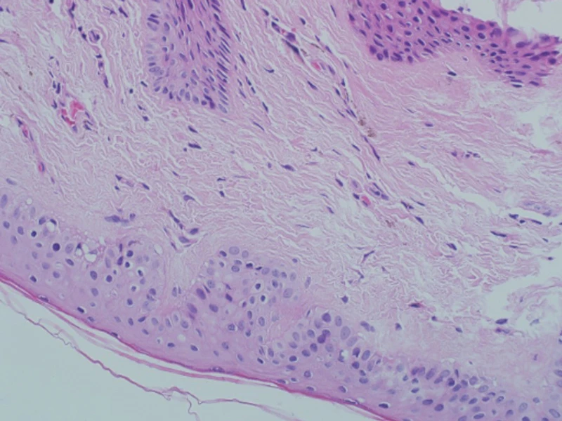
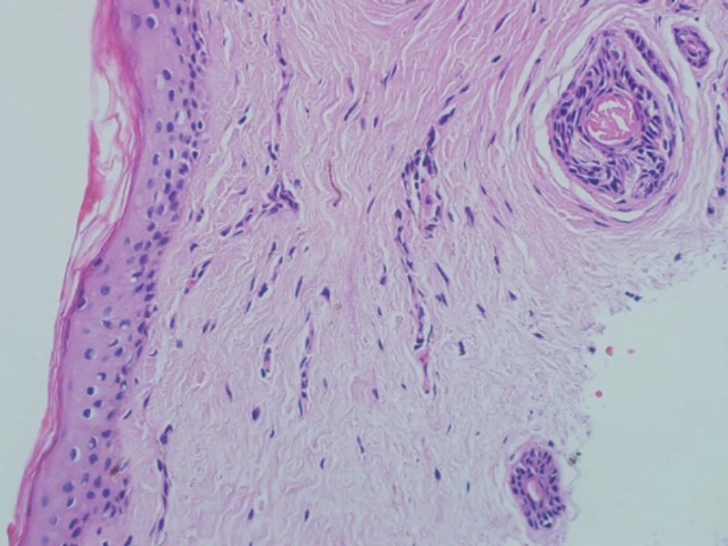
Эффективность PRX-T-терапии доказана клиническими исследованиями и многолетней клинической практикой. При окраске биоптатов кожи гематоксилин-эозином после обработки PRX-T получено доказательство, что увеличилась относительная ширина дермы, а также усилился неоангиогенез в глубоких слоях дермы, произошло нарастание отложений коллагена и нейтральных мукополисахаридов в экстрацеллюлярном матриксе дермы, заметно усилился синтез коллагена I и III типов.

...
Дерма до PRX-T-терапии
...
Дерма после PRX-T-терапии

В качестве диагностики и оценки эффективности эстетических процедур был использован аппарат Antera 3D (Антера 3Д). Проведено сравнение трехмерных образов височной области, созданных на Antera 3D до и после проведенного лечения. Оценивалось состояние поверхности кожи пациентки, степень выраженности морщин, борозд, рубцов и других нарушений рельефа, определялись сосудистые нарушения.

Antera 3D является эффективным инструментом оценки степени дефектов кожи и позволяет в цифрах выразить эффективность сочетанных эстетических процедур. На фото ниже вы можете посмотреть изображения и графики улучшения состояния кожи пациентки.

Для стимуляции репараторного потенциала кожи и регуляции системы местного иммунитета использовалась обогащенная тромбоцитами плазма (PRP), представляющая собой аутогенно собранную плазму крови, содержащую концентрированные уровни тромбоцитов. Основная ставка в терапевтической эффективности PRP-терапии делается на наличие в тромбоцитах альфа-гранул, содержащих факторы роста, которые способны стимулировать процессы регенерации тканей, деление и рост клеток.

При работе с атрофическими рубцами очень важна «чистота» конечного продукта, то есть отсутствие провоспалительных клеток в образце плазмы Именно поэтому пациентке была назначена современная система для PRP-терапии Cellenis второго поколения.

...

Она представлена в десятках стран мира под несколькими торговыми марками: Cellenis® PRP, Tropocells® PRP, MyCells® PRP, Eclipse® PRP. Данный продукт имеет все сертификаты качества: FDA (американский сертификат), CE Medical Devices (европейский сертификат) и регистрационное удостоверение на территории РФ (набор для получения обогащенной тромбоцитами плазмы PRP).

На российском рынке эстетической медицины представлены в основном PRP первого поколения, основанные на получении buffy coat.

Эти системы производят конечные продукты, которые сильно загрязнены эритроцитами и нейтрофилами (катаболические клетки, которые являются антагонистами всего процесса заживления). Системы PRP первого поколения используют метод сбора buffy coat (лейкоцитарной пленки) для приготовления PRP, который является очень неточным. Так как эритроциты имеют самую высокую плотность, они в конечном итоге концентрируются на дне образца. На их вершине находится концентрированный набор тромбоцитов, моноцитов, лимфоцитов и нейтрофилов, ВСЕ они включаются в Buffy Coat. Так как для систем PRP Buffy Coat требуется сбор всей лейкоцитной пленки для получения высокой концентрации тромбоцитов, то при сборе всего Buffy Coat в образец PRP неизбежно попадают многочисленные эритроциты.

Поскольку во время забора лейкоцитарной пленки шприцем в отцентрифугированной пробирке нет четкого барьера, разделяющего уровни, на которых располагаются разные клетки крови, многочисленные эритроциты и нейтрофилы неизбежно загрязняют образец PRP, оказывая в дальнейшем катаболические эффекты.

...

Причина, по которой Cellenis® PRP является системой подготовки следующего поколения, заключается в том, что она способна изолировать эритроциты и нейтрофилы под физическим гелевым барьером, сохраняя при этом моноциты, лимфоциты и тромбоциты выше гелевого барьера.

Дизайн состоит в запатентованном геле выверенной плотности, который идеально подходит для отделения анаболических тромбоцитов, моноцитов и лимфоцитов от нежелательных эритроцитов и нейтрофилов, а также позволяет включить моноциты и лимфоциты в PRP, одновременно максимально удалив эритроциты и нейтрофилы.

Преимущества Cellenis® PRP

  • Выделяется максимальное количество жизнеспособных тромбоцитов (до 90 % от уровня цельной крови)
  • Полное отсутствие эритроцитов (более 99,9 %)
  • Минимальное количество нейтрофилов и других гранулоцитов (более 90 %)
  • Сохраняется максимально возможное количество моноцитов и лимфоцитов (86,2 % от общего количества мононуклеарных клеток)
...

Пробирки Cellenis® PRP дают оптимальное соотношение цены и объема получаемой качественной PRP с уникальными свойствами.

Стандартные пробирки Cellenis® PRP 11 мл отбирают 11 мл крови с получением фракции PRP до 6,5 мл. Степень концентрации тромбоцитов от 1,8х и более.

Уникальные пробирки Cellenis® PRP 22 мл отбирают 22 мл крови с получением фракции PRP до 13,0 мл.

Применение улучшенной формулы антикоагулянта MACD7 на основе ACD-A (цитрат натрия + декстроза) с добавлением буфера позволяет получить раствор с физиологическим pH = 7,0 и оптимальным осмотическим давлением, что позволяет сохранить жизнеспособность максимального количества тромбоцитов, предотвратить их преждевременную активацию, уменьшает боль во время инъекции.

Пробирки Cellenis® PRP изготовлены из фармацевтического стекла со специальной обработкой внутренней поверхности, что препятствует прилипанию тромбоцитов и их преждевременной активации.

PRP генерируется в одной и той же пробирке для забора крови:

  • Более высокий выход тромбоцитов
  • Меньший риск бактериального заражения материала
  • Меньший риск травм врача от укола иглой

Хотя это и не гарантия, но полностью закрытая система (как в случае с Cellenis® PRP) сводит к минимуму риск инфекционного заражения.

При приготовлении PRP во многих других системах есть этапы, когда кровь подвергается воздействию воздуха в помещении. Поскольку PRP получают в обычном медицинском кабинете и не используют специальную камеру с чистым воздухом, риск инфицирования образца крови увеличивается. Точно так же каждый раз, когда образец крови должен быть перенесен в другую пробирку или контейнер, возникает небольшой, но измеримый риск. В системе Cellenis® PRP упрощенный процесс подготовки, при котором кровь попадает в тот же контейнер, который затем подвергается центрифугированию. Единственный перенос образца – заполнение PRP в шприц для инъекций.

Безопасность и эффективность применения Cellenis® PRP подтверждена многолетними клиническими исследованиями и тестами:

  • Тест на отсроченную гиперчувствительность (GMPT)
  • Тест на цитотоксичность
  • Тест на острую системную токсичность

После применения Cellenis® PRP для улучшения результатов и бережного ухода между процедурами пациентке была назначена передовая система ухода за кожей Neauvia:

...

Night Retinoids Serum (Neauvia, Италия) – омолаживающая сыворотка, использующая возможности трех форм ретиноидов для идеального баланса между видимым результатом и внутренним комфортом кожи. Система доставки построена на основе гидроксисом – усовершенствованной проводниковой системы, выполняющей поставку активных ингредиентов к точке назначения, что обеспечивает оптимизированную эффективность препарата. Обновляет и восстанавливает кожу, придавая ей гладкость, упругость, увлажнение.

Day/Night Ceramide Shield Cream (Neauvia, Италия) – двойное восстановление кожного барьера (в микробиоме и эпидермисе). Пребиотические пептиды для пробиотического эффекта и улучшения защитной системы кожи. Укрепление, сопротивляемость, смягчение кожи, борьба с изъянами. Легкая формула крема идеально подходит для обезвоженной кожи и показана после эстетических процедур. Мягкое воздействие, но интенсивное увлажнение кожи.

Дальнейшее планируемое лечение

  • Деструкция патологической рубцовой ткани: лазерная шлифовка iPixel Er:YAG 2940 нм (Harmony XL PRO Alma Lasers).
  • 1 процедура PRP Cellenis®.
  • Заполнение рубцовых дефектов филлерами Neauvia.
  • 2-3 процедуры ФДТ HELEO4™.
  • Домашний уход профессиональной космецевтикой Neauvia.

При субцизии (подсекании) рубцов с последующим интрадермальным введением препаратов на основе ГК необходимо, чтобы филлер был биосовместимым и снижал биопотенциальное отторжение принимающих тканей.

...

В филлерах Neauvia в качестве сшивающего агента используется полимер. PEG означает полиэтиленгликоль. PEG или ПЭГ – это нетоксичный, неиммуногенный полимер, который часто называют «скрытой молекулой», потому что он не распознается биологическими молекулами, такими как белки.

PEG делает имплант биомиметическим, т.е. он не признается организмом как инородное тело, следовательно, очень низки шансы возникновения иммунологических реакций.

Также препарат должен иметь низкую когезивность для легкой инъекции и формования, а также средний и низкий G’ для того, чтобы не создавать видимых краев и неровностей, поэтому в дальнейшем лечении наш выбор будет падать на препараты Neauvia Flux или/и Neauvia Rheology.

Клинические результаты

Таким образом, в результате реализации сочетанного протокола у пациентки была получена положительная динамика в лечении рубцов: улучшилась трофика тканей и микрорельеф кожи, а также улучшилось восприятие пациентки результатов проведенных процедур.

...
До начала лечения
...
Через 1,5 месяца лечения
...
Через 3 месяца лечения
...
До начала лечения
...
Через 1,5 месяца лечения
...
Через 3 месяца лечения
...
До начала лечения
...
Через 1,5 месяца лечения
...
Через 3 месяца лечения

Заключение

Реализация протокола у данной пациентки позволила получить положительную динамику в лечении, так как в нем были учтены особенности течения процесса на фоне снижения регенераторного потенциала дермы, подобран ряд методик, которые обладают как регенерирующим (Heleo4, PRP Cellenis), так и стимулирующим эффектом (PRP Cellenis, PRX-T). Также пациентка соблюдала рекомендации по домашнему уходу Neauvia.

Источники:

  1. Theys T, Van Hoylandt A, Broeckx CE, Van Gerven L, Jonkergouw J, Quirynen M, van Loon J. Plasma-rich fibrin in neurosurgery: a feasibility study. Acta Neurochir (Wien). 2018 Aug;160(8):1497-1503. doi: 10.1007/s00701-018-3579-8. Epub 2018 Jun 6. PMID: 29872915
  2. Amgar, Gilbert & Bonnet, Christian & Butnaru, Alain & Herault-Bardin, Fabienne. (2011). Using objective criteria to evaluate cosmetic effects of platelet rich plasma. Prime. 1. 10.1080/21598908.2011.642699
  3. Суркичин С.И., Грязева Н.В., Les nouvelles estetiques, №4(149), 2022.
  4. Fruijtier-Polloth C. Safety assessment on polyethylene glycols (PEGs) and their derivatives as used in cosmetic products. November, 2005. DOI: 10.1016/j.tox.2005.06.001. 

Еще по теме